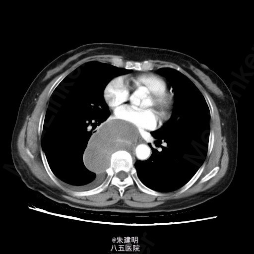
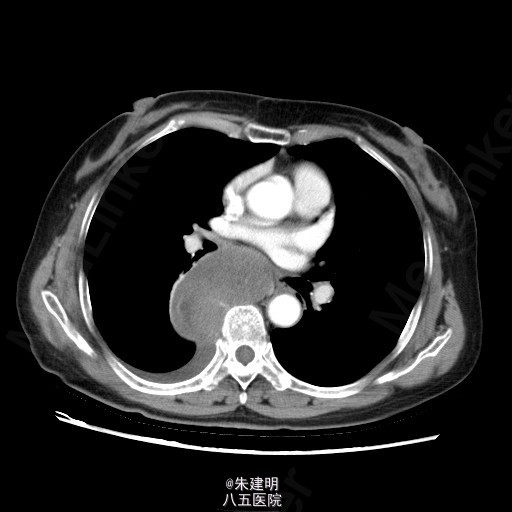
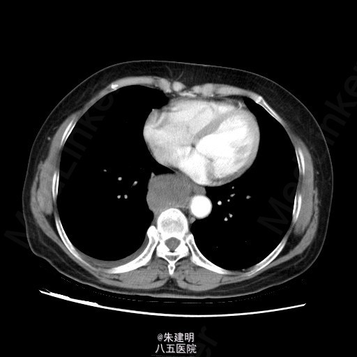
【主诉】 胸部不适1月 【现病史】 患者1月前于当地医院常规体检发现纵隔部占位,为明确诊断,遂来我院门诊就诊。门诊行CT检查(2015-05-07)示:右后下纵膈占位,梭形细胞肿瘤(神经源性等)机会大,右侧少量胸腔积液;左肺炎性小结节机会大,随访。门诊拟诊断为“右侧纵隔占位”收入我科。患者病程中,一般情况可,胃纳二便无殊。
查体: T:36.6℃ P:78次/分 R:20次/分 BP:120/80mmHg 神清,一般可,双侧锁骨上淋巴结未及肿大;胸廓无畸形,呼吸运动平稳,胸廓活动度可;两肺呼吸音清,未及明显干湿罗音。 辅助检查: 门诊行CT检查(2015-05-07)示:右后下纵膈占位,梭形细胞肿瘤(神经源性等)机会大,右侧少量胸腔积液;左肺炎性小结节机会大,随访。




诊断:纵隔肿瘤 处理:患者全麻下行纵隔肿瘤切除术 患者取左侧卧位,常规消毒铺巾,取右后外侧切口经第六肋上缘进胸。探查无胸膜粘连予以分离,无胸腔积液。肿块位于隆突下方,大小约8*7*5cm,质硬,固定推之不动。探查肿块未累及主动脉和两侧主支气管。打开纵膈胸膜,沿脊柱分离肿块,注意保护食管及奇静脉,奇静脉分支结扎后切断。将肿块完整切除。检查无出血漏气,置胸管1根引流,逐层关胸。 术中出血约200ml,未输血,标本送病理。
鉴别诊断: (1)胸腺瘤:常位于前纵隔,部分患者可有眼肌乏力、四肢乏力或呼吸乏力等重症肌无力的症状,结合CT表现,应考虑有本诊断的可能,可行进一步检查明确。 (2)畸胎瘤:多位于前纵隔,部分患者可咳出毛发、骨骼等样物,可行进一步检查明确。 (3)胸骨后甲状腺:位于前纵隔,常在气管左侧或右侧或双侧,部分病例可出现肿块压迫气管引起呼吸困难等症状,结合CT表现,不排除本有本诊断的可能。