下载或打开 医联APP 查看完整评论
立即下载
打开APP
打开应用
1113多颗牙缺失的活动义齿修复光35
哈尔用户
哈尔滨千昊口腔门诊部
主诉 病史
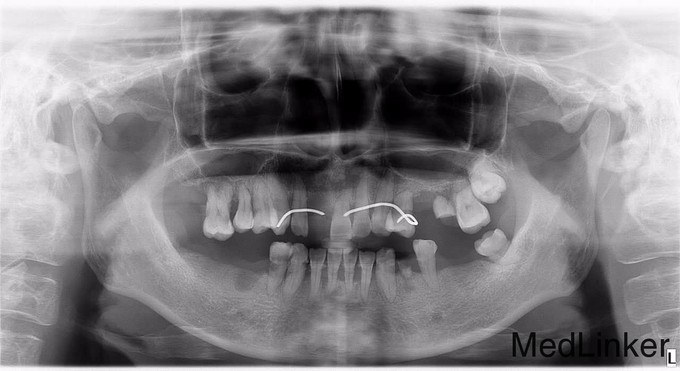
口内多颗牙拔除,要求镶牙
发布于 15-11-13 11:39
医联推荐你看
左上后牙多颗牙缺失
1113口内多颗牙缺失的修复光6
1109多颗牙缺失的活动义齿修复光1
共
0
个评论
暂无评论
发送
0