下载或打开 医联APP 查看完整评论
立即下载
打开APP
打开应用
1113口内多颗牙缺失的修复光6
哈尔用户
哈尔滨博睿口腔门诊
主诉 病史
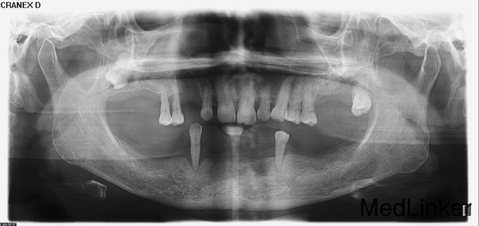
口腔内多颗牙陆续拔除,要求修复
发布于 15-11-13 10:49
医联推荐你看
左上后牙多颗牙缺失
1110全口多颗牙缺失的治疗与修复光12
1113多颗牙缺失的活动义齿修复光35
共
0
个评论
暂无评论
发送
0