下载或打开 医联APP 查看完整评论
立即下载
打开APP
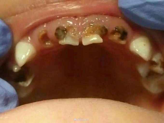
患者,男,3岁半 主诉:近一年前牙有洞影响美观,现要求修复(母述) 现病史:患者自幼前牙颜色发育异常,幼时含奶瓶睡觉的习惯,近一年前牙出现大小不一的龋坏,影响美观,现要求修复
检查:51,61颈部环形龋,龋坏和龈缘齐平,色黑,质软,颊侧龋坏已达髓腔,无明显松动,冷热(-),叩(-),其他无异常 X线片示:牙根未吸收,根尖无暗影,其余无异常

诊断:51,61奶瓶龋 治疗计划:51.61rct+乳前牙透明冠修复 治疗: 1.51.61去软龋,行rct(见图1) 2.metapex根充,丁氧膏暂封(见图2.5) 3.乳前牙透明冠修复(见图3.4.)





乳前牙透明冠对于距离换牙还有一段时间的孩子来说还是起到很好的效果,尤其是学齢期儿童,刚接触学校环境,心理正在建设初期,美观对他们的心理建设会有很重要的意义的,各位家长们,要注意了,赢在起跑线,才可能有更好的未来,说句玩笑话,这毕竟是看脸的时代,孩子也都是颜值控! 关于乳前牙透明冠,据本人所知,好像只有3m有,优缺点还是有的,优点,美观,一次性材料,耗时少;缺点,操作技术水平影响大,易脱落,不实用于夜磨牙,咬合深的小孩,当然不配合的小孩操作也挺伤神的。