主诉:双髋强直活动受限10余年 现病史:患者既往强直性脊柱炎,逐渐累及双髋、双膝,现双髋屈曲活动受限,双膝屈曲畸形挛缩,活动受限。 既往史:关节鳞屑病。
查体:全身可见不多处暗红斑、丘疹、色素沉着斑,皮疹上覆少许银白色鳞屑,额部、下颌部散在红色丘疹。双髋强直,无活动度。双膝屈曲畸形,活动度左侧:10-100度,右侧:15-100度。






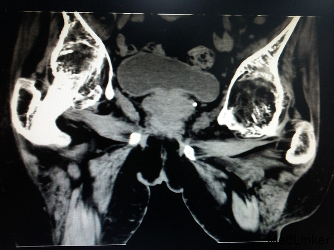
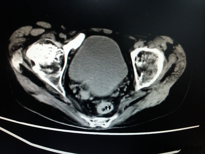
诊断:强直性脊柱炎(累及双侧髋关节) 患者腰骶部活动受限,影像学提示患者双侧骶髂关节间隙消失,且患者HLA—B27异常,强直性脊柱炎诊断明确。患者双髋关节间隙消失,活动度丧失,累及髋关节诊断明确。具有明确手术指症。患者既往关节鳞屑病,现控制稳定,经皮肤科会诊后排出手术禁忌症。由于经济稳定,患者及家属决定分次手术,本次手术暂行右侧人工全髋关节置换术。


讨论: 经验:强直性脊柱炎累及双髋的患者行全髋关节置换术时,显露及找到髋臼是手术的重点和难点。 1.显露。由于髋关节强直,失去活动度,助手在不能旋转大腿,造成显露困难。我们的做法是先充分显露小粗隆,沿小粗隆上方约2cm处截骨(一般常规于小粗隆上方0.5-1cm处截骨),充分离断头颈部,此时助手可通过内旋患肢,充分显露。下一步再按常规行小粗隆上截骨。 2.清除瘢痕组织。此类患者由于长期髋部强直,活动受限,周围往往会形成瘢痕挛缩,多以内收肌紧张常见。故显露的过程需彻底清除周围瘢痕组织。术中安装假体后测试关节各方西活动,若内收肌紧张,需行内收肌松解。 3.找髋臼。由于强直性脊柱炎累及髋关节需行关节置换的患者,往往头与髋臼已经发生融合,术中很难判断髋臼。若贸然凿除所谓的股骨头,很可能会破坏髋臼壁。故找髋臼时性循序渐进,逐渐凿骨找到髋臼。CT片显示头与髋臼底之间仍有间隙存在,故可推断圆韧带仍存在,这也是这类患者的特点。故逐渐凿除股骨头时,到达圆韧带的层面时就找到了髋臼底。此时可开始磨钻磨锉髋臼。从小号开始依次增大号数。 4.骨质。强直性脊柱炎的患者因长期服用激素类药物,骨量丢失较正常人较多,故髋臼骨质疏松明显,所以磨搓髋臼时需反转,防止骨量过度丢失,磨穿髋臼。 不足:1.术中由于患者左髋强直,摆放手术体位受限,不能维持身体中立位,身体后仰,术中安放臼杯时未能把握合适的前倾角度。 2.假体的选择。由于术前未认真评估股骨髓腔的形态,导致术中按常规选择股骨假体柄后,出现假体柄打入困难。该患者股骨髓腔形态呈烟囱型,最好选择直柄,打入后可更贴合,方便骨长入。