下载或打开 医联APP 查看完整评论
立即下载
打开APP
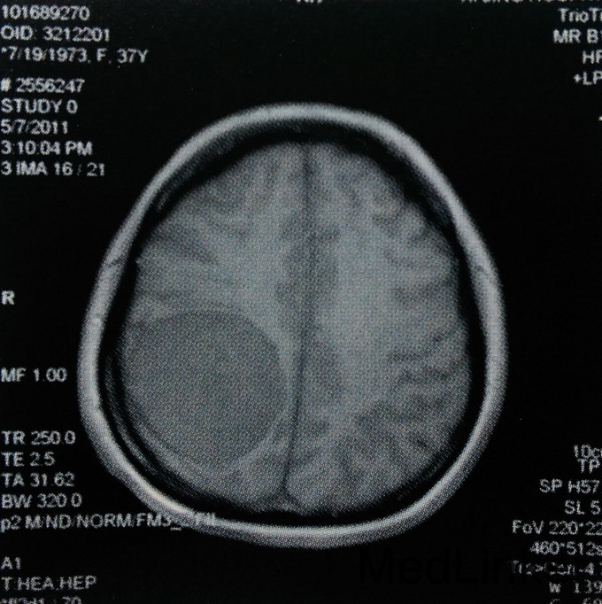
患者,女,37岁。主因左上肢麻木2年入院。 患者2年前无诱因出现左侧肢体麻木,无乏力、活动受限,未就诊。此后上述症状进行性加重,遂在当地医院以颈椎病对症治疗,未好转。行头颅MRI检查:右侧颞顶枕部见类圆形占位,大小约5.8cmх5.2cmх5.4cm,T1WI呈稍低信号,T2WI呈稍高信号,边缘尚清楚,压迫右侧脑室后角。Gd-DTPA增强后,明显强化,合并宽基底与脑膜相接,可见鼠尾征。门诊以“右顶叶巨大肿瘤”收入我科。无相关既往史、个人史及家族史。
查体:意识清楚,言语清晰,查体合作;双侧瞳孔等大等圆,直径约3.0mm,直接、间接对光反射灵敏;双侧肢体深浅感觉对称,未见异常;四肢肌力V级,肌张力正常,未见不自主运动。






诊断:颞顶枕巨大脑膜瘤一例 患者在全麻下行“开颅右侧颞顶枕巨大肿瘤切除术”。
正确的手术入路和良好的显露,是提高巨大脑膜瘤切除程度和手术疗效的关键。骨瓣一定要定位准确,要略大于肿瘤边界,这样能使肿瘤所附着的硬膜有良好的显露,有利于暴露肿瘤基底,从而处理好供瘤动脉和引流动脉,减少出血,避免周围脑组织的损伤。