打开应用

右下后牙去反复肿痛

武汉用户   武汉南湖天姿口腔

主诉 病史

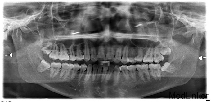
患者诉右下后牙反复肿痛,遇冷热水疼痛史,

查体 辅查

36远中颌面深龋洞,探质软,冷测剧痛,叩痛(-)无松动,牙龈无红肿 38可见部分牙冠,远中可见龈袋,牙龈充血,叩痛(-)

诊断 处理

36牙髓炎 38阻生呀

发布于 15-11-11 20:09

0 个评论

暂无评论
发送