打开应用

右下智牙反复肿痛

武汉用户   武汉南湖天姿口腔

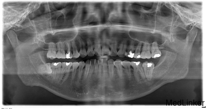
主诉 病史

患者诉右下智牙反复肿痛史,曾咨询检查过,怕痛为处理,左下后牙长期冷热疼痛史

查体 辅查

48处牙龈充血,可见部分牙冠,叩痛(-)无松动,36远中邻颌面深大龋洞,探痛明显,冷测轻微不适,热测疼痛,叩痛(-)

诊断 处理

48阻生呀 36 慢性牙髓炎

发布于 15-11-11 20:04

0 个评论

暂无评论
发送