下载或打开 医联APP 查看完整评论
立即下载
打开APP
患者男,37岁,因“外伤后双足跟疼痛、肿胀伴腰痛11+天”入院。患者11+天前和工友施工时不慎从二楼摔下,双足跟着地,当时即感双足剧烈疼痛,踝关节活动障碍,伴腰背部疼痛,左足跟长约3厘米伤口,患者诉可见骨断端外露,伤后2小时患者被送往当地人民医院,急诊行清创缝合术,术后给予输液、抗炎、消肿等对症治疗,双足水肿减轻,患者为求诊治进一步诊治来我院,急诊以双足跟骨折收住我科。

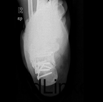
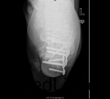
查体:双足中度肿胀,左足跟底内侧长约3cm清创缝合术后伤口,伤口干燥,无红肿渗液,双足背、足底、双踝关节中度肿胀,双足皮温正常,足背动脉正常扪及,双下肢肌力五级,双足趾活动正常,双踝关节疼痛活动受限。 辅查:双足X线示:双足跟粉碎性骨折,关节面塌陷。

初步诊断:1、右跟骨粉碎性骨折2、左跟骨粉碎性开放性骨折清创缝合术后 诊疗计划:拟行双侧跟骨切开复位植骨、钢板、螺钉内固定术+髂骨取骨术

跟骨骨折以足跟部剧烈疼痛,肿胀和淤斑明显,足跟不能着地行走,跟骨压痛为主要表现。本病成年人较多发生,常由高处坠下或挤压致伤。
