下载或打开 医联APP 查看完整评论
立即下载
打开APP
患者男,18岁,因“车祸伤致右肩部疼痛伴活动受限15天”入院。患者入院前15天乘坐摩托车时不慎发生车祸,伤及右侧肩部。伤后即往当地医院,诊断为右肩胛骨粉碎性骨折,行输液及对症治疗(具体不详),右绷带包扎固定,患者患者为求进一步治疗于今日来我院,门诊以右肩胛骨粉碎性骨折收入我科。

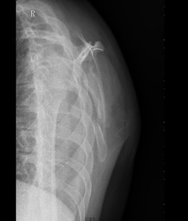
查体:右侧肩背部稍肿胀,局部皮肤无破溃。右肩背部触痛明显,右肘、右前臂、手部无明显触痛,无感觉减退,右桡动脉尺动脉搏动可扪及。右侧肩关节因疼痛拒动,右肘、右腕关节,手指活动无受限。左上肢及双下肢肌力正常、活动无受限。 辅查:X片、CT示右侧肩胛骨皮质连续性中段,骨折块移位,提示右肩粉碎性骨折。

诊断:右肩胛骨粉碎性骨折 治疗:拟行右肩胛骨骨折切开复位内固定术

肩胛体部骨折主要为直接暴力引起,如重物或火器伤直接损伤肩胛骨体部,多为粉碎性骨折,有时亦有横行或斜行骨折,因肩胛骨前后均有肌肉保护,多无明显骨折移位,但须注意有无肋骨骨折或胸腔脏器伤。
