下载或打开 医联APP 查看完整评论
立即下载
打开APP
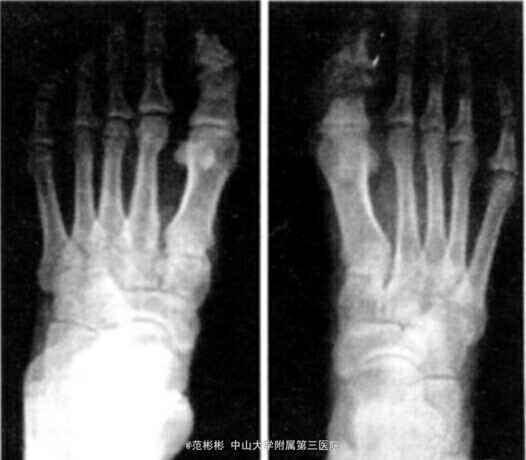
患者 男,30 岁。2007 年 11 月因右 趾溃烂 15 年, 左趾、双手手指肿胀 8 年入院。 14 岁时右 趾压伤后破溃,经抗感染治疗后创口结痂,质地松软不愈合,无肿痛、瘙痒。 8 年前左 趾无明显诱因出现类似症状。外院诊断为“感染、类风湿性关节炎、骨髓炎”等,对症治疗后无改善。
入院检查 :神智清楚,智力正常,头颅外观正常,身高 170 cm,牙齿排列整齐、无脱落。右趾、左第 1~4 足趾、双手手指末梢呈淡粉红色,变形、无压痛。右 趾趾甲畸形,皮肤质硬、皲裂。类风湿因子 (-),抗“ O”试验(-),梅毒抗体 (-),肝、肾功能无异常, 右 指分泌物细菌培养 (-),红细胞沉降率正常,甲状旁腺激素正常。 X 线片检查示:中指,左示、中、无名指末节指骨骨干明显变细、基底部完整 ;右趾远节骨质溶解伴缺失,近节趾骨和趾间关节破坏 ;左 趾、小趾末节部分骨质溶解;全身其余骨质未见异常。


诊断:特发性肢端骨溶解症。 治疗:行右踇趾病灶切除、部分截趾修复术。
术后2年随访,右踇趾临床症状消失,无不适,切除病趾无进一步溶解,其余各指(趾)与术前比较无进一步变化。