下载或打开 医联APP 查看完整评论
立即下载
打开APP
患者女,13岁,因“发现脊柱侧凸畸形4月”入院。患者4月前家长无意间发现胸背部脊柱侧凸,双肩不等高,无牛奶咖啡斑、无皮下结节,不伴活动耐力下降、气促、心悸、胸背痛、腰痛,日常活动及运动能力正常,在当地医院检查后建议手术治疗,到我院就诊,门诊以"特发性脊柱侧凸"收入住院。


查体:胸段脊柱向右侧凸,右侧胸廓后部凸起,剃刀背畸形,剃刀背高度2cm,右肩高,骨盆略向右倾斜,四肢及关节未见异常,未查见牛奶咖啡斑。脊柱各棘突及棘突旁无压痛及扣痛。胸腰部前屈、后伸及侧屈、侧旋范围正常,双下肢等长,未发现感觉减退区,四肢肌力5级,生理反射均正常引出,病理反射未引出。 辅查:X片示胸段脊柱以胸8为中心明显右侧弯畸形,胸段上段及腰段相应轻度左突侧弯。


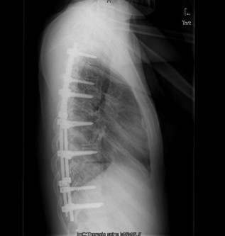
初步诊断:特发性脊柱侧凸(Lenke:ⅡA ̄型) 诊疗计划: 拟经后路脊柱侧凸矫形+同种异体骨植骨+椎弓根螺钉内固定术术


术中见胸椎脊柱S形侧弯,肌肉韧性较差,棘突偏离中线,凹侧小关节退变明显,胸段脊柱以T8为中心明显右凸,T4为中心向左侧凸起,右侧剃刀背畸形。
