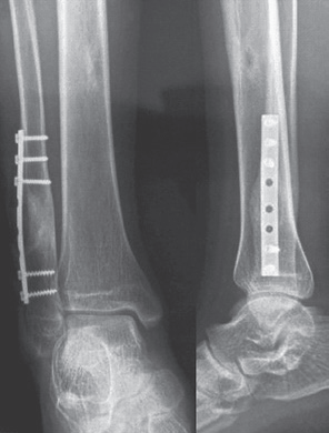
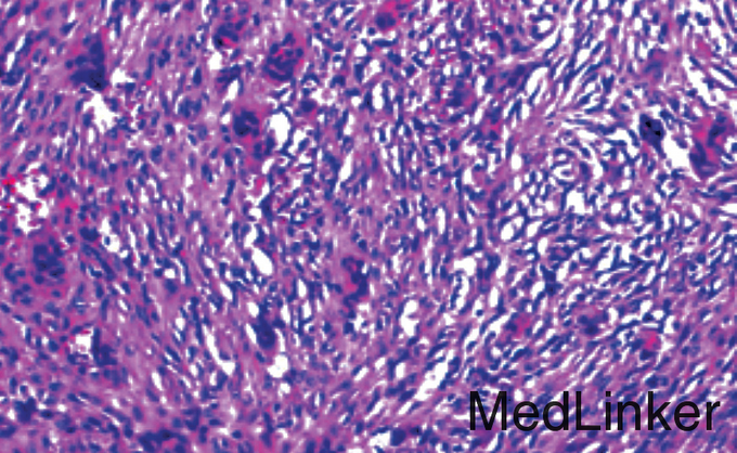
男,15岁,右踝部间断疼痛2年,加重伴右踝部肿胀1周。查体:右外踝上6cm处略肿胀,局部皮温正常,未触及包块,局部压痛明显,右踝关节活动度基本正常。右胫腓骨正侧位平片(图1):右腓骨远端干骺端膨胀性骨破坏,骨密度减低,骨皮质变薄,病灶内有分房,未见骨膜反应及周围软组织影。胫骨中下段髓腔内可见类圆形影,边界清楚,骨皮质无破坏。右踝MRI示:腓骨下段髓腔内显示4.5cm×2cm等T1、短T2异常信号灶,边界清楚,信号不均,其内可见分隔,病灶呈膨胀性生长,骨皮质变薄(图2)。右胫骨中下段髓腔内显示3.7cm×1.7cm椭圆形长T1、T2信号灶,边界清楚,信号均匀,边缘规则,骨皮质连续。结合病史及影像学表现考虑为良性病变,遂在硬膜外麻醉下行右腓骨远端病灶刮除、异体骨植骨、内固定术,右胫骨病灶刮除术。术后病理报告:(1)右腓骨远端髓腔内有5cm×4.5cm×1.3cm肿块。镜下见大片的梭形细胞伴有较多体积较大的多核巨细胞,局部见新生的骨小梁样结构,结合临床,考虑为GCT(图4)。(2)右胫骨远端髓腔内见灰黄色结节肿物,总体积3.5cm×3cm×1cm,镜下显示成熟的脂肪细胞并见增生小血管,结合临床考虑血管脂肪瘤(图5)。术后2周切口愈合良好,无红肿渗出现象,术后3个月患肢行走步态接近正常。术后10个月X线片见腓骨植骨融合,无明显骨破坏,胫骨开窗处可见骨修复(图6)。







GCT是最常见的原发性骨肿瘤之一,占所有原发性骨肿瘤的4%~5%,占所有良性肿瘤的18%,多在20~40岁发病,女性较男性更为常见。本病20岁以下患者少见,其占GCT患者总数的1.7%~5.7%,发生于骨骺未闭合患者仅占1.8%~10.6%,多发生于骺端,邻近关节面,大部分呈偏心性。本例GCT发生于骨骺未闭患者,病灶主要位于长骨的干端,向骺端延伸,为非典型性GCT。GCT的临床表现并无特异性,可以有局部的肿胀,疼痛,活动受限,部分患者可出现病理性骨折。 影像学是诊断GCT的重要手段,但是确诊需要活检病理来证实。对于骨骺闭合前GCT的外科治疗,一方面要考虑肿瘤学的治疗,另一方面要考虑患者的生长发育,尽量降低畸形发生率。目前,GCT的手术治疗方式主要包括:肿瘤囊内切除术和瘤段切除术。多数文献报道病灶刮除术后MTST评分高于瘤段切除术,且在瘤段切除、关节重建术后的并发症要高于扩大切除术,包括骨折、骨不连、假体松动、假体感染等。徐立辉等报道8例骨骺闭合前GCT患者中有6例行扩大刮除术,其中没有出现肢体发育畸形或者肢体不等长,未出现转移病例,也提示扩大刮除术对于骨骺闭合前的患者是安全有效的手术方法。 血管脂肪瘤(angiolipoma)是一种少见的良性肿瘤,临床上青少年多发,国内也仅见少数的病例报道。1960年,Howard等首先确定血管脂肪瘤作为病理诊断,其中包含了成熟的脂肪组织和血管。该病在临床缺乏特异性表现,MRI显示肿块多呈梭形,T1WI为中等偏高信号,较脂肪组织信号低,T2WI为高信号,肿物内有扭曲扩张的血管影为其特异性表现,本病若血管成分少,与脂肪瘤难鉴别。治疗方面,本病以手术彻底切除为主,复发率较低。 肢体两个部位同时出现肿瘤,常被认为是转移或者多发。本例提示,当同一肢体影像学上显示不同的病灶,要想到可能是不同的疾病,进而选择不同的治疗方案。血管脂肪瘤和巨细胞瘤的同时出现并没有明确的原因,两者没有直接联系。本例青少年患者在骨骺闭合前发生腓骨远端GCT,合并同侧胫骨骨内血管脂肪瘤,比较罕见。