下载或打开 医联APP 查看完整评论
立即下载
打开APP
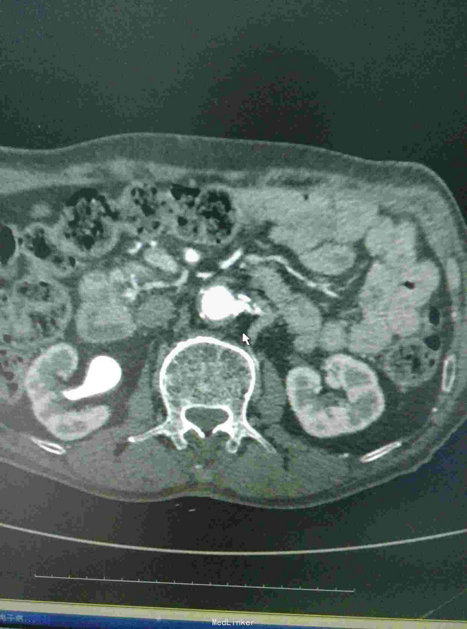
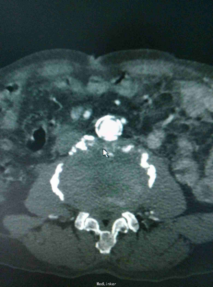
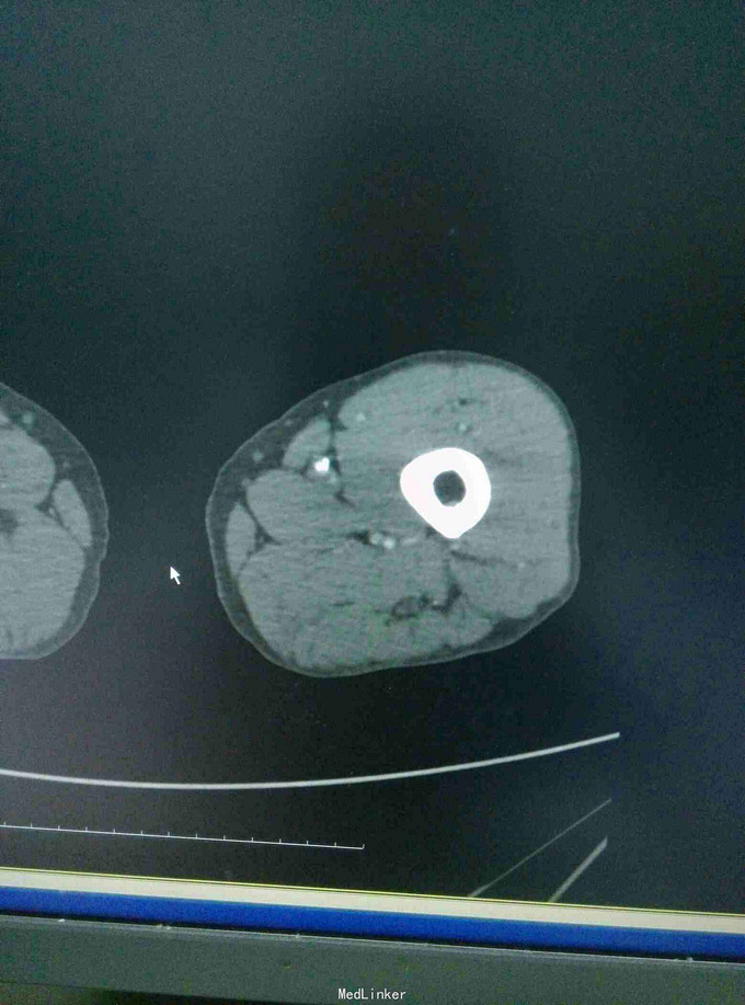
男患,74岁,间歇性跛行2年伴右足疼痛9+月,2年前无明显诱因出现间歇性跛行,行走后伴下肢远端疼痛、乏力,休息后缓解,无红肿发热及感觉异常,后行走距离渐变短,9月前加重伴远端静息痛。
左下肢皮温降低,左足背可见紫红色淤斑,左股动脉扪及微弱波动。下肢血管成像提示:双下肢动脉节段性不同程度狭窄、闭塞。








双下肢动脉硬化闭塞症 手术:左侧髂动脉探查术,术中探查股动脉,导丝导管尝试通过闭塞段髂动脉,但反复尝试无法继续。右侧也无法通过。家属放弃。
ASO是动脉粥样硬化引起的,好发于45岁以上男性,早期主要表现为间歇性跛行,晚起出现静息痛、缺血坏跙或溃疡。动脉造影有助于确定诊断,临床上可采用PTA,内膜剥脱术、旁路转流术等。