下载或打开 医联APP 查看完整评论
立即下载
打开APP
患者男性,41岁,因左腰痛伴血尿5天, 超声提示左肾盂占位入院。既往史无特殊。
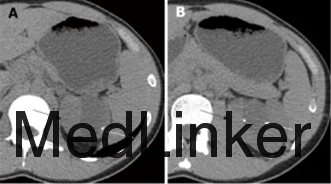
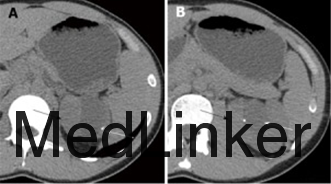
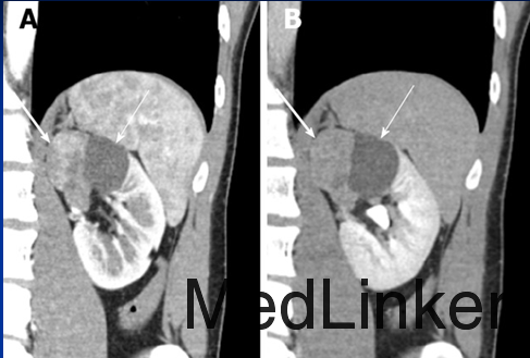
查体:左肾区叩痛(+),腹部无明显压痛、反跳痛,余未见明显异常。 辅查:我院腹部CT平扫+增强示:左肾囊实性肿块,大小约68X42mm,实性部分增强后在皮髓质期明显强化,后强化减低,囊性部分未见明显强化,考虑左肾恶性肿瘤并囊性变。余实验室检查未见明显异常。
入院诊断:左肾肿物:左肾癌?入院后行左肾肿物切除术,术中见一类球星肿物位于左肾下极,大小约6x5x4cm,颜色较正常肾实质深,质韧,表面较光滑,边界尚清晰,无明显粘连。术后病理示:(左肾盂旁肿物)肾类癌。




肾脏原发类癌是极为罕见的肾脏恶性肿瘤,发病年龄相对较年轻。多数患者以腰、腹部疼痛或血尿为主要临床症状,,少数可出现类癌综合征表现,外科手术为目前唯一可行的治疗方法,可根据肿瘤大小及部位行肾癌根治术或肾部分切除术。