下载或打开 医联APP 查看完整评论
立即下载
打开APP
一位首次妊娠的孕32周妇女因左肾巨大肿瘤入院。3周前患者第一次出现无痛性的肉眼血尿。在妊娠的第一期,惯例的检查发现有镜下血尿,但之后的检查未引起注意。
进行超声检查发现左肾不正常的包块。高度提示是肾脏的肿瘤。MRI证实了这些发现,提示在左肾下极有一个边缘锐利,巨大的肿瘤。无淋巴结、远处转移或者左肾上腺侵犯的征象。 患者一般情况良好。家庭史无特殊。肉眼血尿持续存在。此外尿液分析提示中度的蛋白尿,无明显尿路感染的征象。其它的体格检查正常。尤其在患者左肋部未触及包块。患者否认有关妊娠的其它问题。实验室检查在正常限值。
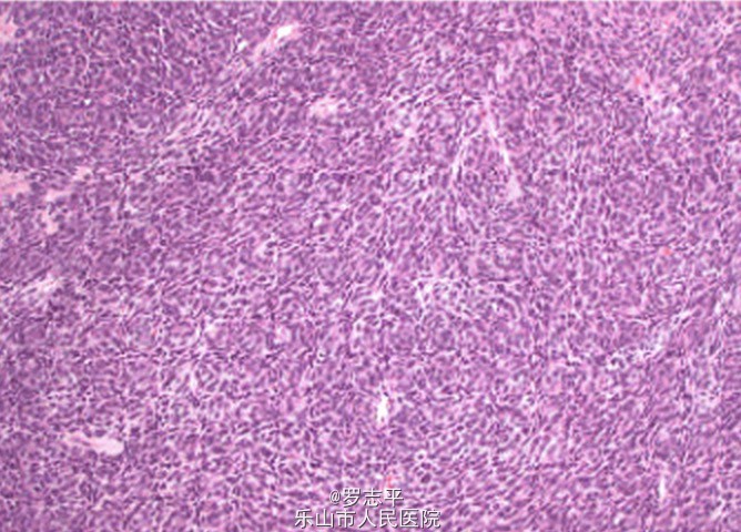
形态学检查提示是浸润盆腔的实体瘤。肿瘤的组织学提示是单一细胞细胞形态,在粘液基质中可见大细胞和核仁深染。在检查的肿瘤区域未发现双相型的细胞形态。肿瘤的免疫组化检查提示vimentin和bcl-2呈低度的抗原表达(MIB-1<5%)。但是未发现CD-99抗原的表达。任何与妊娠期激素水平相关,如雌激素受体、孕激素受体、α胎蛋白或β-hCG的免疫组化的抗原表达的检测均是阴性。



形态学检查提示是浸润盆腔的实体瘤。肿瘤的组织学提示是单一细胞细胞形态,在粘液基质中可见大细胞和核仁深染。在检查的肿瘤区域未发现双相型的细胞形态。肿瘤的免疫组化检查提示vimentin和bcl-2呈低度的抗原表达(MIB-1<5%)。但是未发现CD-99抗原的表达。任何与妊娠期激素水平相关,如雌激素受体、孕激素受体、α胎蛋白或β-hCG的免疫组化的抗原表达的检测均是阴性。


