打开应用

牙龈癌术后复发碘125粒子植入一例

刘医师   忻州市中医院
牙龈癌 牙龈癌

主诉 病史

主诉:左上牙龈癌术后2月半余 病史:患者,女65岁,详见图:

查体 辅查

查体、辅助检查见图:

诊断 处理

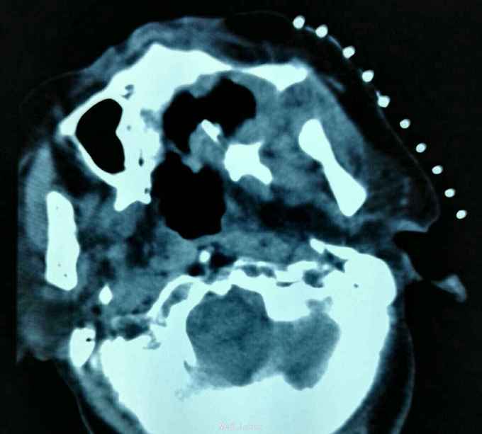
诊断:左上牙龈癌术后复发 治疗:2015.10.21CT引导下行碘125粒子植入术,图为术前定位

随访 讨论

肿瘤的治疗应该多元化,该患者属于牙龈癌术后复发,患者不接受放化疗,遂予以碘125粒子植入术,手术成功,嘱患者术后45天返院复诊。

发布于 15-11-06 16:40

13 个评论

发送