患者,中年女性,45岁。因“结肠癌综合治疗后半年”入院。 病史:患者于2014年11月常规体检时发现CEA升高,当时并无腹痛、腹泻,无便血、黑褐便,无消瘦、纳差,无咳嗽、咳痰,无心前区不适等等,至一月后继续复查此项指标较前明显升高(具体数值已不详),遂进一步行全腹部增强CT扫描示:结肠肝曲肠壁增厚,考虑肿瘤性病变可能。当时查CEA:257.5ng/mL,CA199:1766.86 u/mL,遂立即至我科住院治疗,先予行结肠癌血管介入化疗栓塞术,术后辅助予“氟脲苷+奥沙利铂”行全身化疗一疗程,之后复查CEA:82.08ng/mL,CA199:464.19u/mL,半月后综合评估病情后遂拟行送手术室行“结肠癌根治术”,手术中见结肠肝曲与十二指肠、胰腺等有严重粘连,遂予分离。术后病理示:右半结肠中分化腺癌,部分为粘液腺癌,浸润肠壁全层,并侵犯神经组织,胰腺旁淋巴结见癌组织浸润并侵犯神经组织。术后一月常规再次至我科进一步行局部+全身化疗(化疗方案为:氟尿嘧啶+顺铂),再次复查CEA:339.62ng/mL,CA199:3820.9u/mL(较前升高)。2015年4月遂予行全身PET/CT检查示:右半结肠吻合口未见占位,纵膈1L组、肝门、腹膜后、右侧结肠旁沟淋巴结转移瘤,肝内转移瘤,胰头下方软组织转移瘤,双肺多发小结节,不排除转移瘤。 既往史:2009年因“多发性子宫肌瘤”于珠海市人民医院行“腹腔镜下子宫次全切除术”。
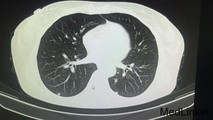
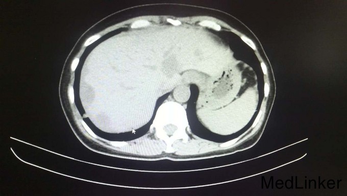
查体:腹平软,全腹部未扪及明显包块,全腹无压痛、反跳痛,右侧上中腹部可见一长约12cm的手术瘢痕,愈合良好,肝脾肋下未触及,墨菲氏征阴性,移动性浊音阴性,肠鸣音正常,无血管杂音。双肺呼吸音清,未闻及干湿性啰音,心脏听诊律齐,各瓣膜区未闻及明显病理性杂音。四肢查体无明显异常。 辅查:术后病理示:右半结肠中分化腺癌,部分为粘液腺癌,浸润肠壁全层,并侵犯神经组织,胰腺旁淋巴结见癌组织浸润并侵犯神经组织。2015年4月全身PET/CT检查示:右半结肠吻合口未见占位,纵膈1L组、肝门、腹膜后、右侧结肠旁沟淋巴结转移瘤,肝内转移瘤,胰头下方软组织转移瘤,双肺多发小结节,不排除转移瘤。2015年6月复查CEA:1353ng/mL,CA199:9674u/mL(较前明显升高)。其余重要影像学检查如下图所示:





诊断:1、结肠癌综合治疗后并肝、胰腺、双肺、全身淋巴结多处转移。2、术后复发 治疗:结合患者2015年4月复查全身PET/CT提示:原发性结肠癌并已肝、胰腺、双肺、全身淋巴结多处转移。遂自2015年5月至我科再次予血管介入化疗术(局部化疗),术中予氟脲苷+顺铂+丝裂霉素+贝伐珠单抗行灌注化疗,术后辅助予“贝伐珠单抗”行全身化疗,过程顺利。于2015年6月复查CEA:1353ng/mL,CA199:9674u/mL(较前明显升高)。遂予“DC-CIK细胞”行生物治疗5天,同时予“贝伐珠单抗”行第二疗程化疗。注:贝伐珠单抗(Bevacizumab,商品名Avastin)是一种单克隆抗体,可抑制血管内皮生长因子,用于治疗各类转移性癌症。
随访两月,患者预后极差,以死亡告终。 讨论:此例中患者病情恶化极快,以导致于最终任何治疗都已经尝试,但却未能取得明显疗效,可以说是顽固型肿瘤!其实作为医务人员,我们都听过这么个不成文的理论:越是手术切除全身转移得越快。所以,这病例里患者是否也是因为这个原因呢?按理说积极治疗,结肠癌不应发展快。或是这个患者最初发病是就已经有胰腺跟十二指肠粘连,可能那时就已经有肿瘤种植或浸润。皆有可能。 其实对于肿瘤病例行“基因检测”也应该成为常规检查。随着肿瘤分子遗传学的研究,体外基因扩增技术聚合酶链式反应(PCR)的发展与应用,为肿瘤基因诊断提供了可能,目前已开展的有以聚合酶链式反应-限制片段长度多态分析(PCR-RFLP)方法,可检测到单分子DNA或每10万个细胞中仅含1个靶DNA分子的样品。在结肠癌已有以下2方面的研究与应用:(1)测定结直肠癌及癌旁组织Ki-ras基因的突变率:有助于了解肿瘤恶性程度,为预测其预后提供参加。ras基因存在不少人类肿瘤,为一潜在的肿瘤标志。单个点突变可使ras基因变成癌基因。干月波等在我国35例结直肠癌中检得第12位密码子突变者11例(31.4%),61位突变者l例(2.9%),1例仅癌旁组织12位密码子突变,而未发现本文结肠癌中较为常见的第13位密码子Gly→AsD突变(表4)。该法可进一步研究与推广应用,对鉴别小块组织癌变与否有帮助。(2)粪便中检测突变Ki-ras基因:干月波等从粪便中分离大分子DNA进行Ki-ras基因第1外显子的PCR扩增,用RFLP方法检测该基因12位密码子的有无突变,在18例结直肠癌患者中发现6例具Ki-ras基因突变(33.3%),其中4例同时发现癌组织亦有相应的突变。Volgelstein等对24例可疑结肠癌大便检查,9例存在ras基因,8例有突变,该检测方法可用于高度可疑而一般方法未能发现人群的监测,对早期发现结直肠癌具有实际应用前景。