打开应用

巨大胆总管囊肿手术治疗

孙医师   中国医科大学附属盛京医院
管状腺瘤 慢性胆囊炎 胆囊炎

主诉 病史

主诉:右上腹绞痛10余年,伴加重3天 病史:患者10余年前无明显诱因出现右上腹绞痛,向右肩及右腰部放散,于当地医院诊断为“先天性胆囊扩张,胆囊结石”,保守治疗后出院。10余年来间断右上腹痛,均自行口服“消炎利胆片,排石颗粒”后好转,3天前,再发右上腹绞痛,伴发热,自行口服“消炎利胆片,排石颗粒”后症状无好转,当地医院急诊超声检查示:肝外胆管囊性扩张伴结石,肝内胆管扩张,左肝内胆管结石,胆囊大伴泥沙样结石。经当地医院抗炎治疗后发热症状好转,为求进一步诊治来我院。病来患者有发热,有胸闷气短,无咳嗽咳痰,精神状态差,饮食睡眠差,二便正常,体重未见明显变化。

查体 辅查

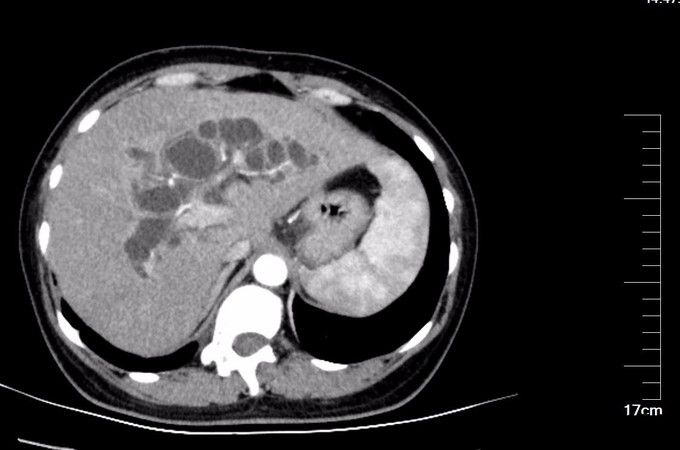
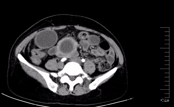
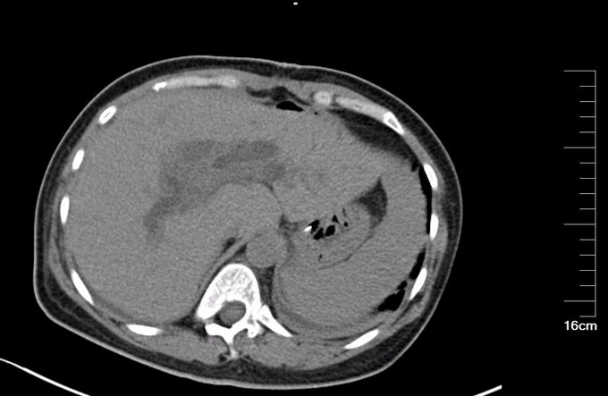
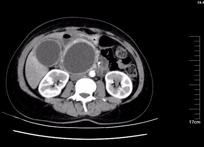
查体:腹部略膨隆,未见胃肠型及蠕动波,未见腹壁曲张静脉,右上腹部压痛阳性,无反跳痛或肌紧张,未及包块,肝脾肋下未及,Murphy氏征阳性,肝区扣痛阳性,肾区无扣痛,肠鸣音减弱,约4次/分,未闻及气过水声。 辅查: MR平扫+增强:肝脏大小形态未见异常,各叶比例正常,未见异常信号灶。肝内胆管、胆囊管及胆总管多发囊状扩张,胆总管直径6cm左右,壁厚且明显强化,腔内点状T2WI低信号影。胆囊饱满,其内可见聚集点状低信号影,胆囊壁增厚且明显强化。门脉血管显示清楚,走行正常。胰腺形态信号未见异常,胰管未见扩张。脾脏不大。增强扫描未见异常强化病灶。 MRCP:胆囊体积增大,肝内胆管、胆囊管及胆总管多发囊状扩张。胰管显影,形态走行未见异常。 CT 胆总管囊状扩张,囊壁较厚,前壁见点状钙化,较宽处直径约6.7cm,胆总管末端壁增厚,管腔狭窄;增强扫描扩张胆总管壁明显强化。肝内胆管扩张,胆囊增大,胆囊壁增厚、强化尚均匀,囊内未见异常密度影。 肝内未见异常密度影。胰腺形态、密度未见异常。脾不大。腹膜后未见确切肿大淋巴结影。

诊断 处理

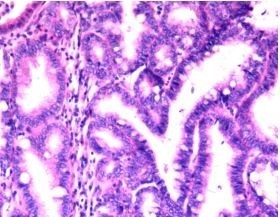
诊断: 胆总管囊肿 治疗:全麻下手术治疗。术中探查,见胆囊大10x6x4cm,肝门部可触及肿大胆总管,直径约6cm,向下延续到胰腺段,切除胆囊,于肝总管横断,向下剥离胆总管,直至胰腺段,仔细分离胆总管与胰腺,避免胰腺组织破碎,直到胆总管变细部位,切断之,远端缝扎,继续行肝管空肠Roux-en-Y吻合术。术后病理胆总管绒毛管状腺瘤,伴高级别上皮内瘤变,有恶变趋势,慢性胆囊炎。

随访 讨论

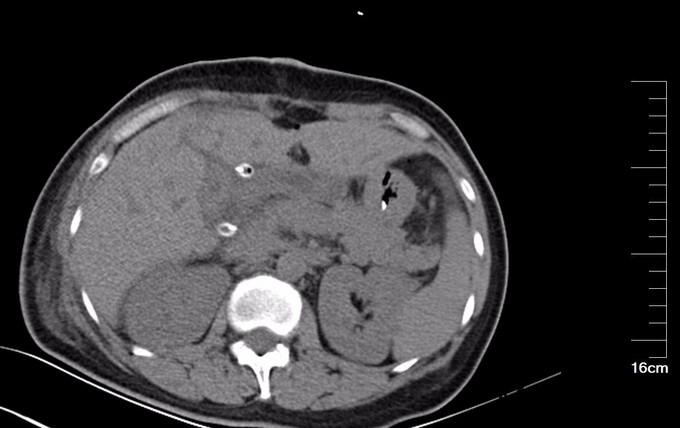
术后检测引流液淀粉酶,术后第一天引流液淀粉酶583U/L, 按照血淀粉酶正常值3倍定义胰瘘,存在胰瘘,术后第4日272 U/L,术后7日118 U/L,已经正常。复查腹部CT, 上腹壁见手术瘢痕影,腹壁下见少量渗出、积气;肝内胆管仍扩张、程度较前减轻,胆囊未见显示,胆囊窝留置导管、局部积气。胆总管囊肿病因不清,对此假说繁多,大多数病例被认为是先天性发育不良所致。胆管壁薄弱有认为管壁的支撑组织存在先天性缺损或存在异位胰腺组织使管壁处于低张状态;胆总管远端梗阻,致管内压力增加从而引起扩张。 分为三型:普通型,憩室型,十二指肠内胆总管膨出,本病例属于普通型。临床表现为间歇性上腹痛、右上腹肿块和黄疸,称为胆总管囊肿三联征,本病例无黄疸。一旦作出诊断,即应采取手术治疗,内引流为宜。胆总管囊肿不手术,会继发结石,并且恶变,本病例经过病理证实已经出现恶变倾向,早期尽快明确诊断,及时手术治疗是此病预防的关键。

发布于 15-11-03 07:08

26 个评论

发送