打开应用

面部基底细胞癌1例

李医师   广州中医药大学第一附属医院
基底细胞癌

主诉 病史

男性,62岁,鼻尖溃疡6个月。 6个月前鼻尖起一小丘疹,不痛不痒,随后中央溃破形成溃疡,外用抗生素软膏等无效。溃疡逐渐扩大,间有出血。

查体 辅查

鼻尖1.2cm×1.0cm溃疡面,质中,边界不规则,基底不平,触之易出血。

诊断 处理

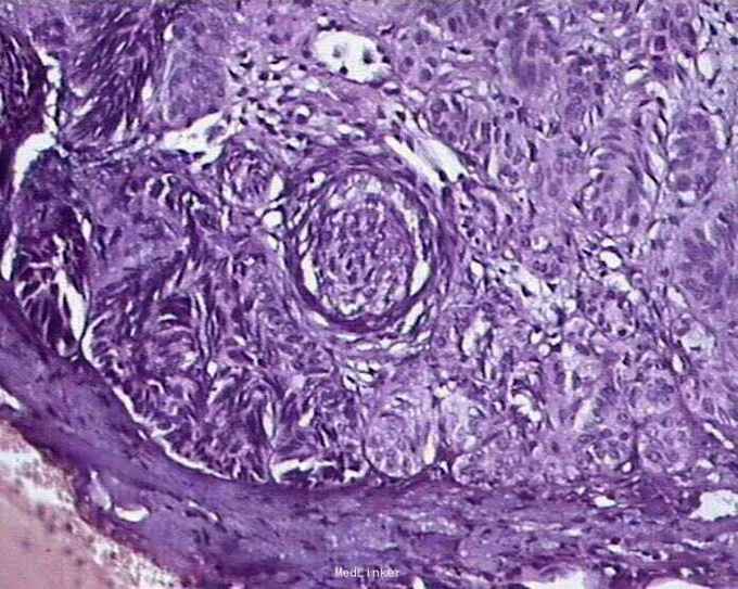
手术切除加病理活检:皮肤基底细胞癌。

随访 讨论

基底细胞癌常见于中老年人,发病与紫外线关系明确,当暴露部位出现慢性溃疡,常规处理不能使之愈合时应警惕本病。

发布于 15-10-31 23:37

1 个评论

发送