下载或打开 医联APP 查看完整评论
立即下载
打开APP
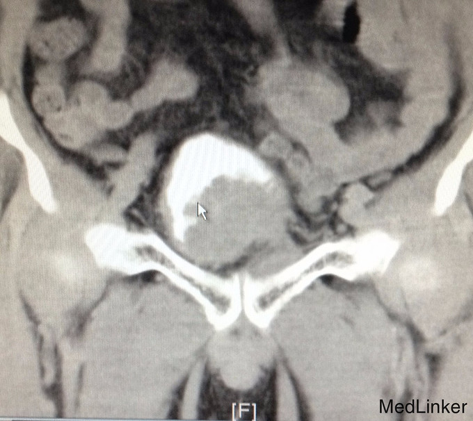
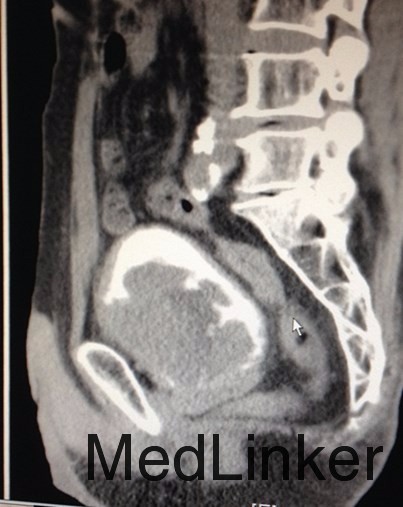
主诉:前列腺癌术后10月余,反复肉眼血尿6月 病史:老年男性,10月余前因进行性排尿困难到当地医院就诊,拟诊为前列腺增生,行TURP,术后病理提示前列腺组织内见高级别尿路上皮癌浸润,后予双侧睾丸切除术去势治疗,术后恢复良好出院。6月前患者无明显诱因反复出现全程肉眼血尿,淡红色,并伴尿痛、排尿困难,未见血块,无伴畏寒发热,无腹痛腰痛等不适。当地医院就诊,诊断“尿道结石”,予行尿道结石钳出+膀胱镜检+尿道扩张术。出院后患者仍反复血尿,性质同前。遂至我院门诊就诊,行腹部CT见:膀胱肿瘤。收入院治疗。



查体:右侧腋窝及右侧锁骨上可触及淋巴结肿大,质硬,移动度差。双侧睾丸缺如。 辅助检查:我院CTU提示膀胱癌,侵犯前列腺及左侧输尿管下段,可疑侵犯右侧精囊腺。
诊断:膀胱癌,前列腺癌术后 治疗:做好术前准备后,行膀胱镜检,膀胱左侧壁见一巨大菜花样肿物,可见坏死及出血,带蒂,切除部分送病理检查。术后病理提示:考虑小细胞神经内分泌癌。患者及家属返回当地医院治疗,予出院。