下载或打开 医联APP 查看完整评论
立即下载
打开APP
打开应用
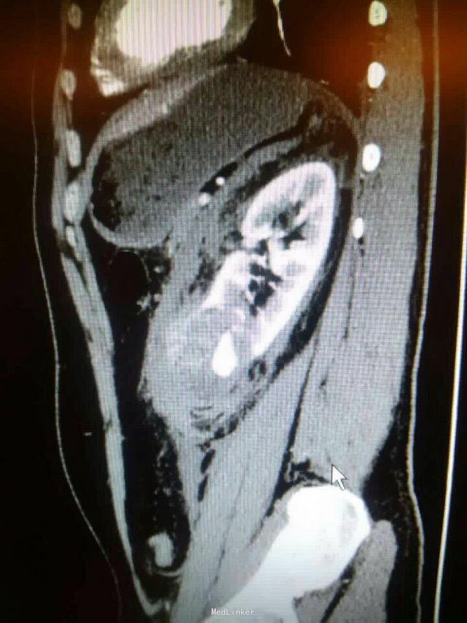
左肾下级错构瘤破裂伴出血
孟医师
解放军火箭军特色医学中心
主诉 病史
发现错构瘤五年余,破裂3小时
查体 辅查
泌尿系ct
诊断 处理
肾挫伤,及时手术治疗,行肾脏全切术
随访 讨论
为了保险起见,还是全切,未保肾,都不敢去保
发布于 15-10-31 22:26
医联推荐你看
肾错构瘤破裂
肾错构瘤破裂出血
巨大肾错构瘤并破裂出血
共
1
个评论
查看更多评论
发送
0