1、主诉:突发右侧腰部疼痛1天余。 2、病史:患者于1天前无明显诱因起床时突发右侧腰部疼痛,呈钝痛性质,疼痛局限于右腰部,无放射性,伴恶心,呕吐,无肉眼血尿,无腹痛,1周前到东莞市人民医院住院治疗,查B超:右肾实质内混合性回声光团,左肾下部稍高回声光团。CT 平扫:右肾肿物破裂出血可能,左肾肿物。现为进一步诊治收入我科。精神、睡眠、胃纳可,体重无明显变化。
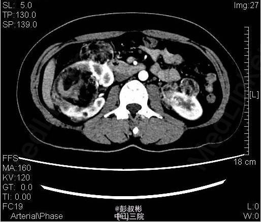
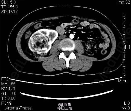
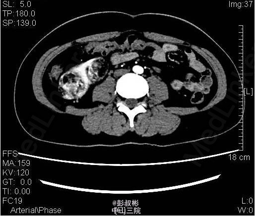
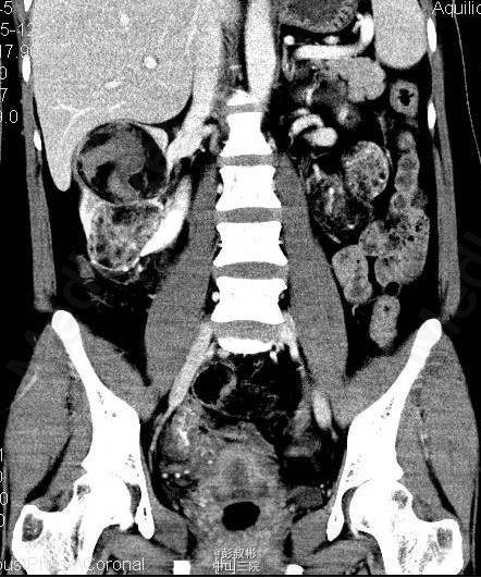
3、既往史:无特殊 4、体格检查:双肾区无红肿、隆起,左肾区叩击痛(-),右肾区叩击痛(+),左侧肋脊点、肋腰点压痛(-),右侧肋脊点、肋腰点压痛(+)。腹平软,左侧输尿管走行区压痛(-),右侧输尿管走行区压痛(-),膀胱区无膨隆,压痛阴性。 5、辅助检查:尿常规:白细胞计数27.60个/ul; 生化全套:钾3.290mmol/L;血常规:白细胞总数12.730x10E9/L,中性粒细胞绝对值9.950x10E9/L心电图、胸片正常;肿瘤抗原检查正常。ECT:右肾灌注、功能轻度降低;左肾灌注、功能基本正常。GFR:左肾为67.3ml/min,右肾为30.6ml/min。CTU:右肾体积增大,双肾可见多发大小不等结节状、团块状异常密度影,其内密度欠均匀,病灶内可见脂肪密度影,增强扫描呈不均匀强化,最大者位于右肾,约59×54mm,双肾多发错构瘤,右肾错构瘤出血。






6、入院诊断:双肾错构瘤(右肾肿物破裂出血可能) 7、处理:予心电监护、吸氧、留置尿管,引流出淡黄色尿液1600mL;急查血常规、生化未见明显异常;予抗感染、补液及营养支持治疗。拟行腹腔镜下右肾部分切除术,备右肾切除术。
8、肾错构瘤的表现:1.绝大多数错构瘤患者没有明显的症状。2.一些比较大的错构瘤,因为压迫十二指肠、胃等器官而出现消化道的不适症状。3.当较大体积的错构瘤突然破裂时,患者会出现腰腹疼痛和血尿等症状,严重的大出血患者可以在腹部触及到包块,甚至有休克症状。4.肾外表现:面部蝶形分布的皮脂腺瘤、癫痫、智力减退等。 9、治疗:1.随访肿瘤<4cm可以不治疗,但要密切随访。2.栓塞动脉栓塞应首先考虑出血的病例,根据经验栓塞后肿瘤的体积并无缩小,但出血可被制止。多选用超选择性肾动脉分支栓塞,以保护部分肾功能。3.保留肾单位手术肿瘤<5cm可行剜除术,尤其是在肾脏边缘的肿瘤。4.肾切除术巨大的肾错构瘤可行肾切除;若为双侧病变要更多地考虑到肾功能的保存;少数病例可有局部及淋巴结侵犯,甚至瘤栓侵入大静脉,呈恶性行为表现,应行根治性肾切除。5.肾移植或血液透析仅适用于双侧病变导致肾功能衰竭或肿瘤破裂出血而必须行双侧肾切除的患者。