下载或打开 医联APP 查看完整评论
立即下载
打开APP
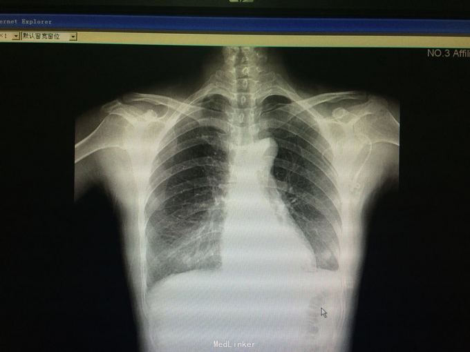
48岁女性,既往高血压。 主诉:咳嗽伴胸痛1周,气促3天。 现病史:1周前无明显诱因出现咳嗽,伴左侧胸壁刺痛,为持续性,活动时加重,休息时缓解。3天前出现气促,一般体力活动后出现,至我院查胸片示:左肺气胸,肺组织压缩约80%,遂入院。

查体:左肺呼吸音明显减弱,右肺正常。双肺未及干湿啰音。 辅查:血常规、凝血、炎性指标等均无明显异常。
诊断:左侧气胸,高血压1级、中危。 入院后予胸腔穿刺加闭式引流排气术,并予头孢咗肟预防感染治疗。负压引流瓶未及气泡冒出、听诊左肺呼吸音明显增强后予夹管复查胸片,示左肺气胸较前好转。

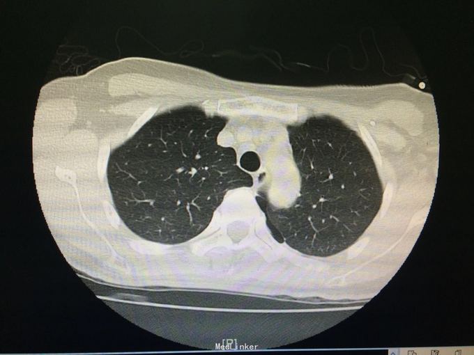
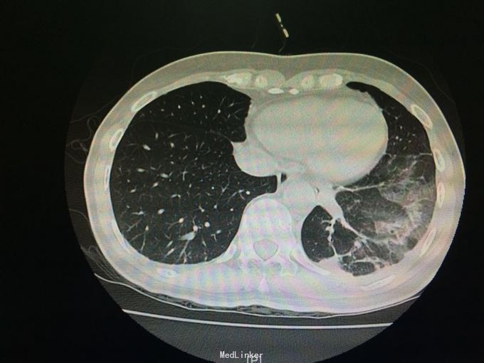
随访:夹管24h后查胸部CT示:左肺下叶炎症、左侧胸腔少量积气、积液。 讨论:该患者是否需要继续闭式引流排气,是否需继续抗生素治疗?



