下载或打开 医联APP 查看完整评论
立即下载
打开APP
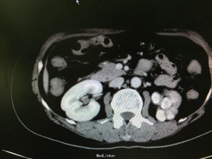
体检发现左肾萎缩11天 当地医院体检发现左肾萎缩,否认盗汗,发热。 2006年因盆腔结核住院治疗,自述规律抗结核治疗,具体不详。
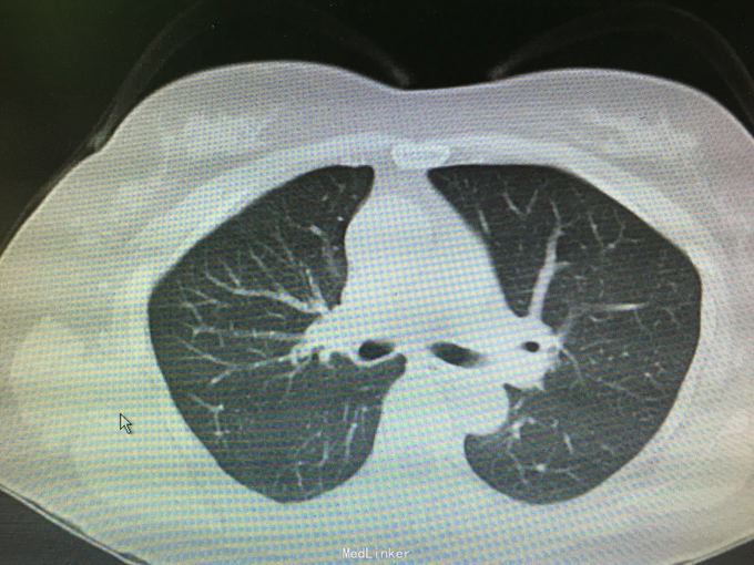
查体:无殊,无阳性体征。 辅助检查:CTU:左肾萎缩,考虑肾结核自截肾。 胸部CT 右肺少量纤维化灶伴局部胸膜粘连改变。



2015-10-28行腹腔镜下左肾切除术。 术后继续抗结核治疗。
患者为盆腔结核患者,9年前行全子宫切除术。 应定期体检,高度警惕泌尿系结核可能。