男,68岁,因“左侧肾上腺肝转移瘤切除术后3个月,发现肝占位2个月余”入院。患者自诉于3个月前在**医科大学**医院诊断为左侧肾上腺肿物,行腹腔镜下左肾上腺区肿物切除术,术后病理提示左肾上腺转移性肝细胞性肝癌,即请肿瘤会诊,行磁共振检查肝右叶与尾叶交界部占位。无黄疸、腹胀、消瘦、尿少等不适.病后予2015年10月21日到我院门诊行CT检查提示肝S6内缘包膜下结节,考虑肝细胞可能性大。今为行手术而入院。门诊拟“肝细胞癌”收入我科,病后患者精神、食欲、睡眠尚可,大小便正常,体重无明显改变。
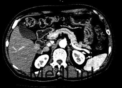
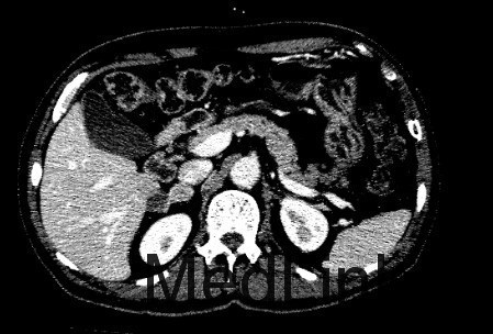
查体: 左上腹外侧见手术切除,余无异常。 辅助检查: 1、检验 白细胞WBC 6.15x10^9/L,血红蛋白Hb 165 g/L,血小板PLT 173x10^9/L;乙肝表面抗原HBsAg(-),乙肝核心抗体HBcAb(+);AFP, CEA、CA125、CA19-9均正常范围 2、影像学 CT:肝S6内缘包膜下结节(19×17mm、19×19mm,),考虑肝细胞癌可能性大,建议进一步检查;其相邻低密度结节,不除外肝囊肿。 2.右侧肾上腺结节,考虑转移瘤可能性大。 3.双肾囊肿。




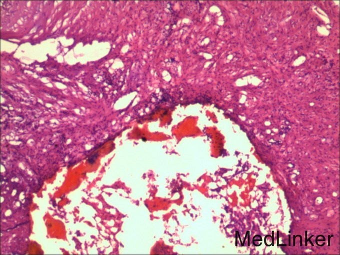
临床诊断 肝细胞癌 治疗: 手术切除右侧肾上腺转移瘤和右肝肿瘤 术后病理: 1、(肝)送检4x3x2cm灰褐色组织一块,切面灰黄,质软。 镜下:送检肝组织内见境界较清楚的胶原纤维包裹的坏死结节,其内可见肿瘤残影,建议结合临床患者是否行介入等治疗,则可符合治疗后改变,未见残留肿瘤细胞。另一组织提示增生的肝细胞Glypican-3灶性(+),CD34显示增生的结节毛细血管化。 特殊染色:网状纤维染色显示肝细胞索增生。 结合HE形态及免疫组化结果,病变符合肝细胞癌。 2(肾上腺结节)送检5x3x3cm淡黄组织一块,可见直径2cm灰白结节。 镜下:肾上腺组织内见肝细胞癌浸润。



心得体会 肝细胞癌最容易发生转移的部位为肝内,其次为肺、骨,再者可能就为肾上腺,该病例第一次治疗由于左侧肾上腺肿物而起,而术后病理提示肝细胞癌才发现了肝内病灶和右侧肾上腺肿物,这种情况相对少见。