打开应用

肾癌伴肾上腺转移

杨医师   锦州市中心医院
肾透明细胞癌 肾细胞癌

主诉 病史

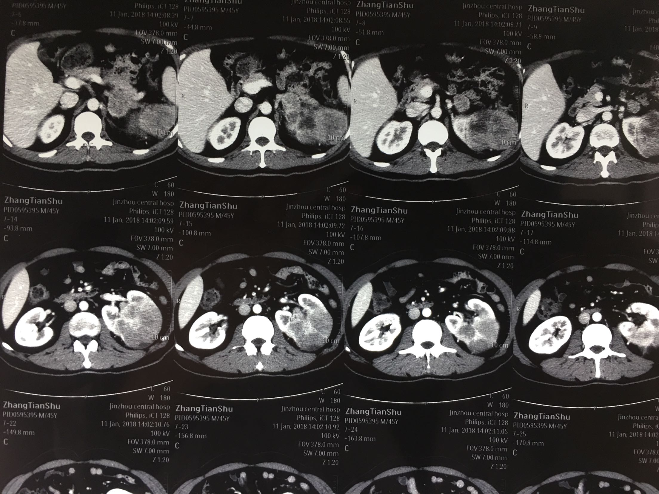
56岁男患 左腰部不适20天为主诉入院,无发热,无恶习及呕吐,无心前区不适,无尿频,无尿急,无尿痛症状。无肉眼血尿。

查体 辅查

查体:左肾区轻叩击痛,双输尿管走形区无压痛,耻骨上区无隆起及压痛, 辅助检查:泌尿系彩超:左肾肿瘤。 ctu:左肾癌伴同侧肾上腺侵犯。

诊断 处理

诊断:左肾癌伴肾上腺转移 治疗:根治性左肾切除术

随访 讨论

术后病理:左肾透明细胞癌局部肉瘤样变,肾上腺及腹膜累及。 讨论:肾脏肿瘤肉眼血尿,腰疼,腹部包块为晚期肿瘤症状,预后不良。

发布于 18-03-08 05:37

5 个评论

发送