下载或打开 医联APP 查看完整评论
立即下载
打开APP
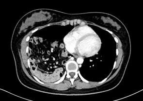
患者,女,26岁,2月前患者体检时发现“右侧胸腔斑片状影”(患者自述),复查CT发现为“右侧膈疝”,患者无特殊不适,无恶心、呕吐、大小便异常等。
查胸、腹部增强CT示“右侧膈疝;右肺明显受压伴少许炎症。左肺下叶基底段小结节,部分肠系膜、肠道及网膜疝入胸腔。肝脏形态失常,下腔静脉肝段变窄。左肾小囊肿”。

诊断:右侧膈疝。行膈疝修补术,手术顺利。
膈疝在膈肌疾病中最为常见,在膈肌发育过程中,如胚胎时的裂隙未能完全闭合,而在横膈上遗留成为裂孔,即可形成疝。临床症状取决于疝入胸内的腹腔脏器容量、脏器功能障碍的程度和胸内压力增加对呼吸循环机能障碍的程度。以手术治疗为主。