下载或打开 医联APP 查看完整评论
立即下载
打开APP
患者男,49岁9月,因“ 全腹胀痛14天,加重伴呕吐4天”入院。患者14天前在进食“甜酒”后出现腹部胀痛,逐渐扩大到整个腹部,伴恶心干呕,不伴寒战发热、腹泻、晕厥,无心悸、气促、发绀。外院诊断“肠梗阻”,予以石蜡油灌肠及输液治疗后缓解。4天前患者在进食后出现同前症状,遂于我院就诊。


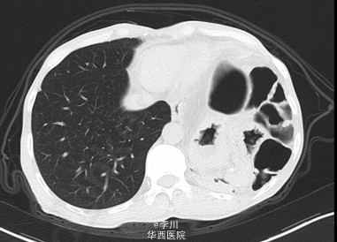
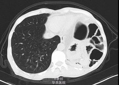
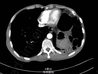
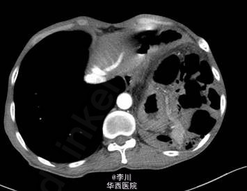
既往患者1+年前因摔跤撞伤腹部,于贵阳医学院行“脾切除+膈疝修补术”。查体左肺呼吸音减弱,可问及异常肠鸣音。CT提示:左侧膈面上抬、局部膈肌软组织似不连续,可见胃及部分肠管上移,膈疝?


在全麻下经左胸膈疝修补、胸膜粘连烙断、胸腔闭式引流术。术中发现:左膈肌外侧缺损约15cm×12cm大小,腹腔内网膜、胃及横结肠等组织疝入胸腔。网膜、胃、结肠组织与膈肌、胸壁片状粘连。左侧肺与胸壁广泛粘连。术后予抗炎、化痰、对症等治疗后好转。




膈疝分为创伤性膈疝与非创伤性膈疝,创伤性膈疝是由于外伤致膈疝破裂,腹腔脏器病入胸腔所致,是胸外科急重症,常合并胸腹腔脏器损伤或严重的呼吸循环障碍。膈肌损伤无论大小均不能自愈,所以膈肌破裂一旦诊断明确,在治疗危及生命的创伤及休克的前提下,只要能耐受手术均应及时手术治疗。手术路径视患者胸腹部伤情而定,按照先重后轻的原则,首先处理致命伤,术式要简单有效。