下载或打开 医联APP 查看完整评论
立即下载
打开APP
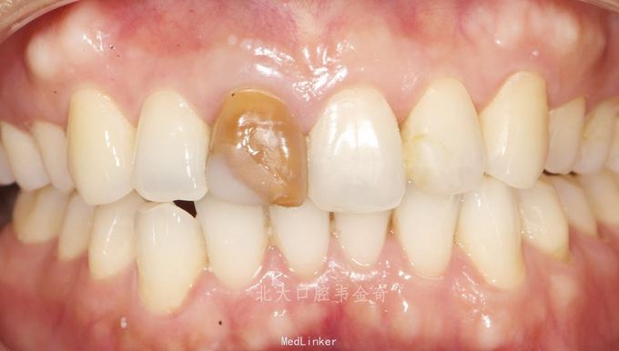
患者女,53天岁。上前牙变色,影响美观,要求治疗。既往根管治疗十余年。无不适症状。
11冠大部分面积呈深黄色,叩痛(-),不松,牙龈未见红肿。 x线片可见根充物,根尖未见异常。 12,21,22未见牙体缺损,颜色正常。

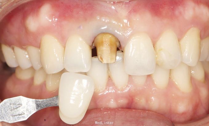
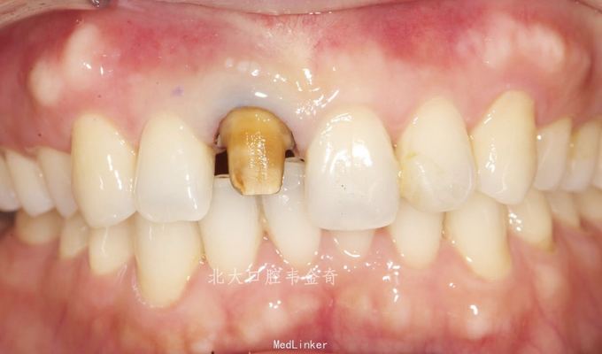
诊断:11牙体缺损,牙冠变色。 处理:建议桩核冠修复。常规操作完成纤维桩树脂核,以及铸瓷冠修复。



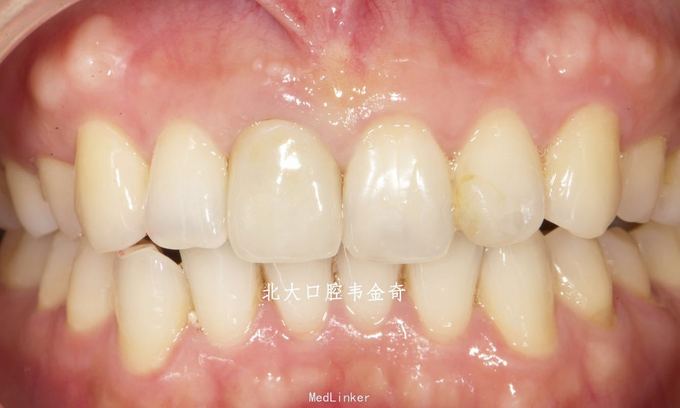
讨论:对于这种重度变色的牙齿,铸瓷冠由于具有较高的通透性遮色能力差,修复效果不好。选用遮色能力更强的氧化锆冠会好很多。 另一方面,根管治疗后多年,牙体重度变色,说明牙体组织内部结构在崩解,质地变差。在治疗过程中也感觉到牙体组织比正常的要软。因此告知患者这个牙齿发生折断的可能性比较大。交流的时候着重提到这个问题。患者处于这种考虑选择相对便宜的铸瓷冠而不是氧化锆冠。 虽然修复效果不够完美,但改善的幅度较大,患者仍比较满意。