下载或打开 医联APP 查看完整评论
立即下载
打开APP
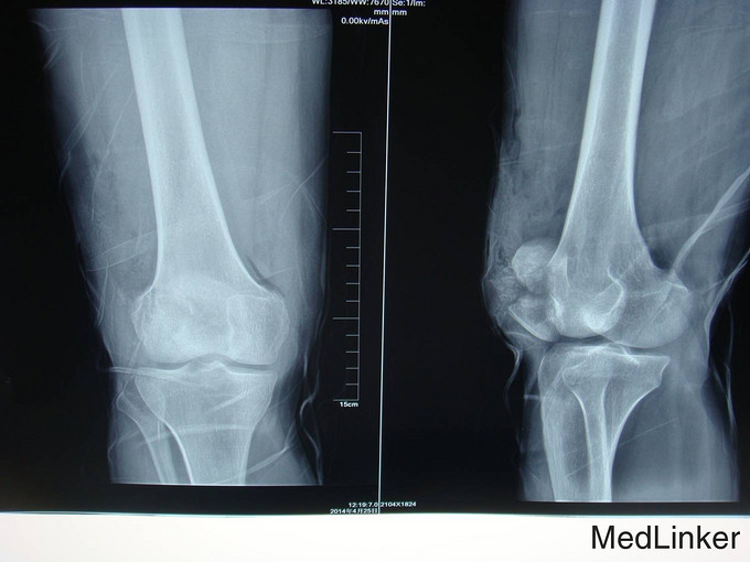
患者自述于2014年4月24日11点左右自马车坠落,摔伤致左膝关节疼痛、流血、活动受限,患者于当地医院行左膝X线检查,提示:左髌骨骨折,包扎,为进一步处理。患者现无意识障碍,无视物不清,无头晕、头痛,无恶心、呕吐,无胸闷及呼吸困难,无腹胀、腹痛。现平素饮食睡眠良好,二便如常。发病近期体重无明显下降。


左膝见一长约10cm的开放口,压痛(+)。未触及骨擦感及异常活动,未闻及骨擦音,患肢无明显 麻木,左下肢血运良好,余肢体查体未见明显异常。



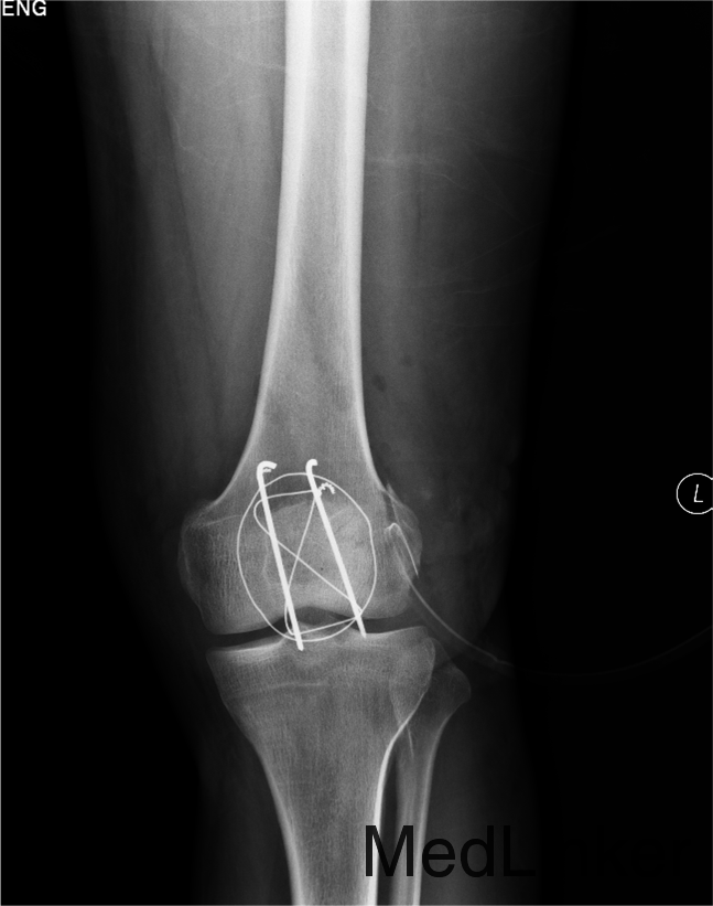
患者入院后急诊行左髌骨清创缝合术,左髌骨骨折切开复位张力带内固定术。术后局部换药无红肿渗出,冷敷,甘露醇消肿,患肢抬高。患者术后14无不良主诉给予拆线。

