下载或打开 医联APP 查看完整评论
立即下载
打开APP
患者,男,15岁,因“发作性肢体抽搐伴意识障碍10余日”入院。 患者10-4熬夜玩游戏时突然倒地,意识丧失,呼之不应,四肢抽搐,呈双上肢屈曲,双下肢伸直,双眼上翻,张口,强直样发作数秒后,四肢肌肉抽搐频率减低,幅度增大,约1分钟后肢体抽搐消失,15分钟后意识恢复,醒后对发作无记忆,诉头晕、困倦、全身乏力。以“继发性癫痫”收入院。患者7月因左侧鼻根部起数个疱疹,疱疹内液体清,无化脓,伴发热,38度左右,起病1日后做眼部红肿,无法睁眼。外院诊断“病毒感染”,具体治疗不详。
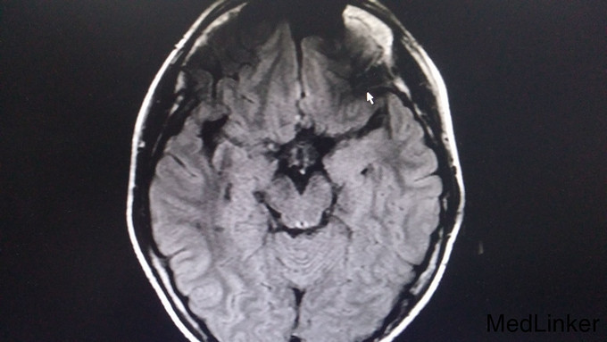
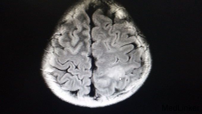
查体:脑膜刺激征阳性:Kernig征阳性,颈抵抗,颏胸距4指。辅助检查: 1. 血常规:白细胞19.02G/L,中性粒91.4%,血沉26mm/h;凝血6项纤维蛋白原4.08g/L,D-二聚体1.31mg/L;生化八项、脑脊液常规、生化、细菌、真菌未见明显异常,脑压240mmH20; 2. 脑电图:痫样放电,中度异常脑电图; 3. CT:双侧额叶纵裂旁灰质、双侧岛叶、右额叶上部及左顶叶多处灰质异常信号。 4. 外院T-spot试验阳性。


患者住院期间有发热,午后低热,伴有夜间盗汗症状,考虑“结核性脑膜脑炎”,予抗结核、营养神经、控制癫痫发作等对症支持治疗。
予抗结核治疗后,患者精神、血沉、血常规好转,但仍有发热,为夜间发热,体温波动于37.6-39度之间,自动热退。讨论: 1. 结核毒血症+脑膜刺激征阳性+T-spot试验阳性+抗结核诊断治疗有效,考虑“结核性脑膜脑炎”; 2. 患者发热,暂不考虑感染引起的发热,考虑病原体与机体变态反应引起的。