下载或打开 医联APP 查看完整评论
立即下载
打开APP
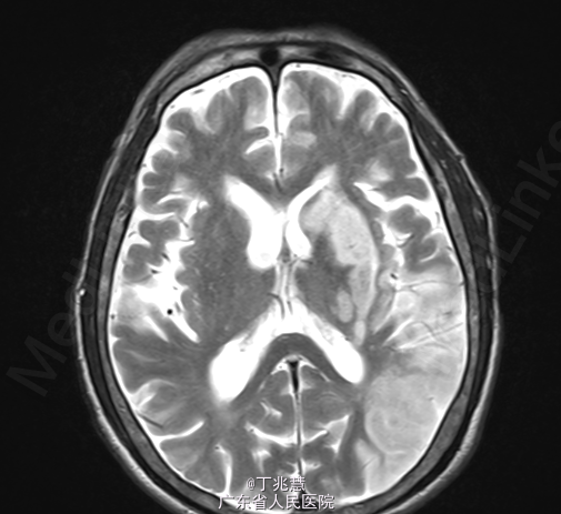
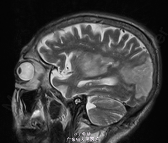
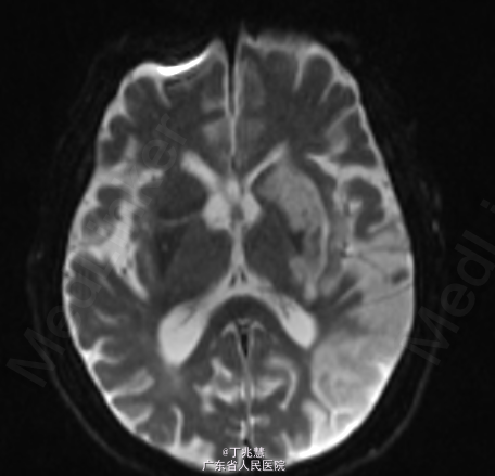
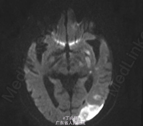
女性,46岁。因“反复发热、头痛2月”入院。患者自2个月前无明显诱因出现头痛,呈持续性,起病初期头痛程度轻,可忍受,自服药治疗(具体用药不详)病情未见好转,且头痛程度逐步加重,难以忍受,无恶心,呕吐,无肢体抽搐,间中有发热,体温最高可达39.2摄氏度。 既往糖尿病史5年,控制不佳。
查体:心肺腹查体未见异常。神经专科:右侧上下肢肌力0级左侧上下肢体肌力5级。 颈强直,颏胸距4横指,双侧Kernig征(+)。




诊断:结核性脑膜脑炎; 治疗:抗结核治疗。
随访:患者转胸科医院进一步治疗,具体不详; 讨论:结核菌一般侵犯脑膜多见,较少累及大脑实质,本例患者累及脑实质,有肢体无力表现。经规律抗结核治疗后预后相对良好。