下载或打开 医联APP 查看完整评论
立即下载
打开APP
打开应用
儿童牙齿矫正
上海用户
上海松柏口腔门诊部
主诉 病史
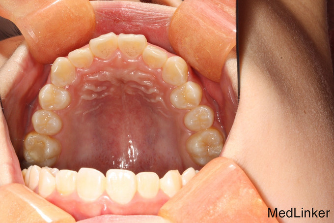
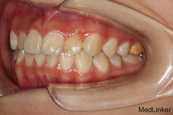
12岁儿童,无过敏史,因牙列不齐,需要做正畸矫正术
发布于 15-10-28 15:55
医联推荐你看
牙齿矫正
牙齿矫正
儿童牙齿矫正
共
0
个评论
暂无评论
发送
0