打开应用

鼻部纤维性丘疹一例

戴医师   南方医科大学南方医院
丘疹

主诉 病史

患者男,37岁。因左侧鼻翼起丘疹10年就诊。 

查体 辅查

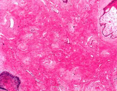
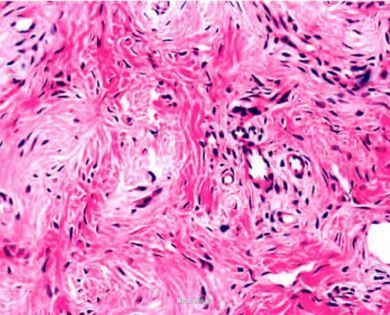
皮肤科检查:左侧鼻翼见一暗红色圆顶丘疹,直径约3 mm.表面光滑.中央轻度毛细血管扩张,质地中等,边界清楚,基底部皮肤正常。手术切除丘疹后行组织病理检查:病变呈外生性,角化过度,棘层增厚,真皮内胶原纤维增生.排列成巢状,其间可见增生、扩张的薄壁血管,并见散在的星状细胞。

诊断 处理

诊断:鼻部纤维性丘疹。行手术治疗。

随访 讨论

术后随访2年余皮损未见复发。

发布于 15-10-28 00:16

0 个评论

暂无评论
发送