下载或打开 医联APP 查看完整评论
立即下载
打开APP
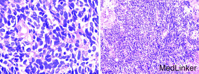
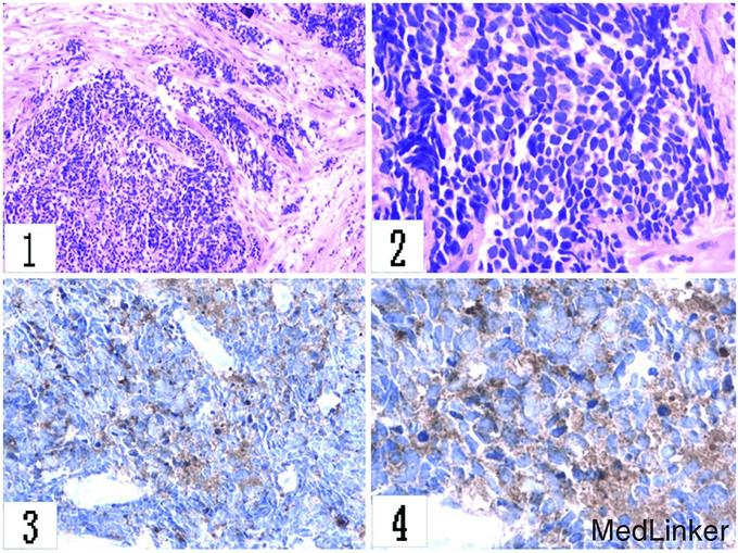
Cerebellar brainstem and spinal cord metastasis from esophageal cancer after radiotherapy is very rare. Here we report a case of a 74-year old male who was admitted to hospital with a poorly differentiated neuroendocrine carcinoma of the esophagus. After radiotherapy, multiple abnormal signals in the brainstem and spinal cord were found on magnetic resonance imaging (MRI). After treatment, clinical symptoms and abnormal MRI signals in the brainstem and spinal cord improved. This case revealed that brain metastasis from esophageal carcinoma may occur simultaneously with brainstem and spinal cord metastases.






患者小细胞食管癌脑转移脊髓转移小脑转移少见