下载或打开 医联APP 查看完整评论
立即下载
打开APP
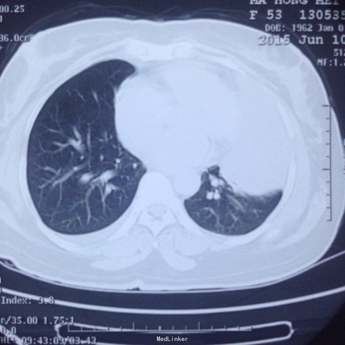
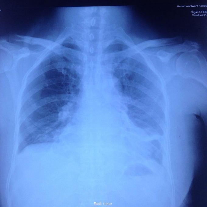
主诉:发现胸腔积液4月余。 现病史:患者4个月前因腰椎间盘突出在当地医院就诊,检查发现双侧少量胸腔积液,量不多,2个月后胸闷气短再次在当地医院复查胸部ct,提示双侧胸腔积液较前增多,左侧明显。



查体:女性患者,45岁,体温正常,一般情况可,颈软,气管居中。左下肺呼吸音稍低,右肺呼吸音清,未闻及干湿性啰音。心率80次/分,律齐,无杂音。



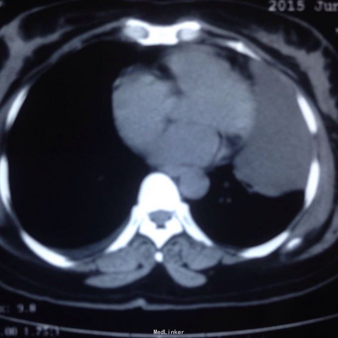
左侧胸腔包裹性积液? 完善胸腔b超提示左侧胸腔包裹性积液,最深处约59mm,内透声较差。予以定位后诊断性穿刺未抽出明显液体,当时考虑液体可能较粘稠或包裹分隔,遂决定予以小切口开胸探查。开胸后见胸腔积液,量约300ml,颜色较清亮,予以抽吸后在探查,见脏层及壁层胸膜无增厚及明显粘连,遂考虑不排除囊肿可能性,继续探查见胸膜顶靠近左纵隔处一囊壁,已破裂,囊壁挛缩成团,予以切除,术后病检为胸腺囊肿。

术后病检为胸腺囊肿。术后讨论:患者多次胸部ct均提示为包裹性积液,因囊肿较大,囊壁较薄,且靠近胸壁,易误诊为包裹性积液,但患者一直无发热病史,且复查ct积液位置靠胸前壁,术前应该考虑到囊肿可能,因患者经济较困难,至本院后未行增强ct,穿刺后考虑穿刺针将囊壁穿破,故开胸后未见完整囊肿,此类看似简单的病例容易由其他医院诊断误导,并且容易误诊。
