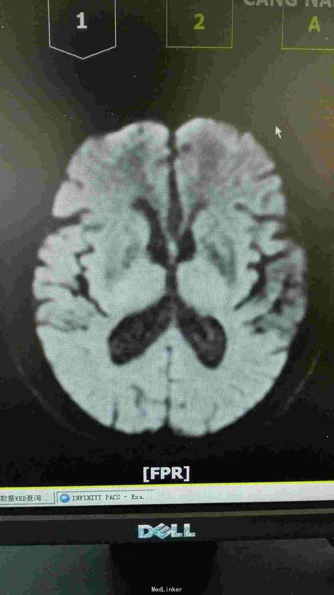
1.男,84岁,农民, 2.左侧肢体不自主运动10余天 3.患者10余天前无明显诱因下出现左上肢不自主运动,继而发展至左下肢,无肢体麻木、乏力,无头痛及恶心、呕吐,无口齿不清,无饮水呛咳等。当时未来院就诊,在家休息后症状未见好转,今来我院门诊就诊,查头颅CT,考虑“缺血性脑血管病”,为求进一步诊治,收住入院。 4.既往“高血压病”病史,长期口服“寿比山”治疗。否认“糖尿病、脑卒中、心脏病”病史。无烟酒嗜好。 5.门诊2015-09-25 10:06 检查部位:(8排)CT平扫(头颅_头颅平扫) 检查结果:右侧基底节区腔梗灶,软化形成可能,请结合临床,必要时MR检查。两侧侧脑室旁多发缺血灶,老年性脑改变。随机血糖26.6mmol/L
生命体征:耳温:36.2℃ 脉搏:58次/分 呼吸:20次/分 血压:148/70mmHg, 口唇无发绀,双肺呼吸音清,未闻及干湿性啰音;心率58次/分,律齐,未闻及明显病理性杂音;腹软,无压痛、反跳痛,肝脾肋下未及,双肾区无叩痛,双下肢无浮肿。神经专科:神清,构音清,双侧额纹对称,双侧瞳孔等大等圆,直径约3.0mm,对光++,鼻唇沟两侧对称,伸舌居中,颈软,双侧肢体肌张力对称,左侧肢体可见不自主运动,四肢肌力Ⅴ级,巴氏征阴性 辅查:糖化血红蛋白A1(HbA1) 15.80%;糖化血红蛋白(HbA1C) 12.90%;糖化血红蛋白F(HbF) 0.10% TSH,FT3,FT4)+男性肿瘤标志物 未见异常。大生化 未见异常 空腹血糖16.3mmol/L。 2015-09-28 17:07:16头颅(头颅平扫MR), 1、两侧基底节区多发腔梗。 2、两侧侧脑室旁缺血性改变。 3、老年性脑改变。




诊断:左侧肢体不自主运动待查:脑梗塞?2.高血压病;3.血糖增高待查:糖尿病? 治疗:予阿司匹林抗血小板聚集,立普妥调脂,活血补液。
后来患者的头颅MRI回报后未见明显梗死,不考虑脑血管病,值得注意的是,这个病人的血糖很高,既往是否认糖尿病病史的。有些糖尿病患者的首发症状就是以不知主运动为主。但是是比较少见的。现在的发病机理也不是很明确。被认为与高血糖诱导的对侧纹状体灌注改变有关,其诊断依赖于典型的单侧舞蹈样运动以及影像学表现。临床症状消失后影像学异常可恢复,也可继续存在。后来这个病人使用胰岛素,血糖控制了之后,舞蹈症的症状就消失了