下载或打开 医联APP 查看完整评论
立即下载
打开APP
患儿女,13岁。3岁时无特殊诱因肘膝踝关节处突发粗糙肥厚斑块。因无自觉症状及其他不适,未予处理。此后皮损从未消退,亦未扩大。

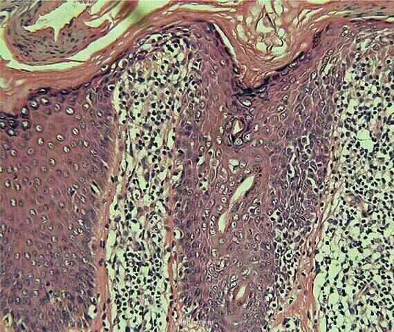
皮肤科检查:肘膝部损害上覆1 ~ 2 mm角化性丘疹,损害群集成片,部分融合。踝关节处损害为环状角化性斑块。 组织病理检查:表皮角化过度及轻度角化不全、毛囊角栓、棘层肥厚、真皮乳头增宽、乳头内毛细血管扩张、管周单个核细胞浸润,真皮浅层少许非特异性细胞浸润。

根据患者的病史、皮损特点及组织病理检查结果,诊断为局限性角化病。 予以维生素A口服、卤米松及尿素维E乳膏外用,15 d后皮肤损害表面光滑。
局限性角化病是一种少见的、发生于尼日利亚鲁巴部落的常染色体隐性遗传儿童皮肤病。根据本病的临床特点和组织病理改变,诊断不难。与本病需要鉴别的疾病主要有:毛发红糠疹、寻常性银屑病、小棘苔藓、神经性皮炎、掌跖角皮症。 DOI:10.3760/cma.j.issn.0412-4030.2015.10.016