下载或打开 医联APP 查看完整评论
立即下载
打开APP
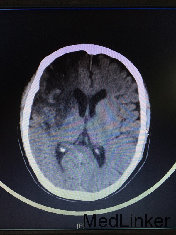
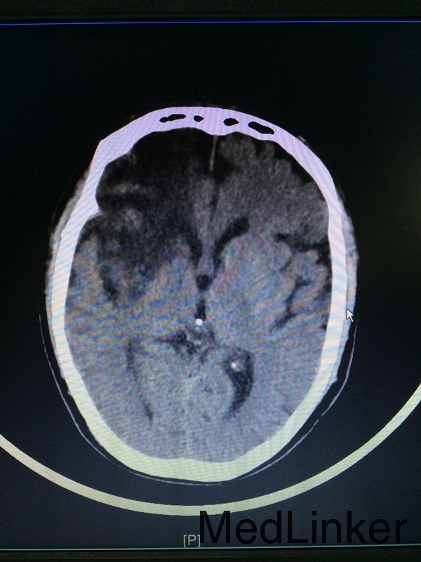
主诉:左侧肢体乏力28天 病史:患者60岁男性,于入院前28天无明显诱因出现左侧肢体乏力,伴言语不清,表现为行走不稳、神志模糊,较烦躁,无头痛、头晕、恶心呕吐等,于当地医院行头颅CT提示:大脑中动脉高密度影。患者第二天出现头痛伴呕吐,急查头颅CT提示:大面积脑梗。

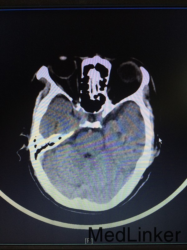
查体:左侧上肢2级,下肢2级,右侧肢体肌力正常 辅助检查:查头颅CTA提示:右侧额叶及岛叶(包括基底节)脑梗塞,轻度脑萎缩,CTA未见明显异常





诊断:右侧额叶及岛叶大面积脑梗塞 治疗:予活血化瘀、改善血管痉挛、脱水降颅压等治疗,并申请康复、高压氧等治疗。

随访:患者病情缓解出院 讨论:患者60岁男性,突发大面积脑梗塞,可能是由脑动脉主干阻塞所致,CT呈现大片状低密度阴影,多为脑叶或跨脑叶分布,脑组织损害范围较大,临床上除表现脑梗塞的一般症状外,还伴有意识障碍及颅内压增高。不排除为体循环的血栓掉落至大脑动脉引起。

