下载或打开 医联APP 查看完整评论
立即下载
打开APP
主诉:突发言语不能伴右侧肢体无力1天余 病史:患者于1天前无明显诱因突发言语不能,伴右侧肢体无力,表现为右侧肢体不能自主活动,无头痛头晕,无恶心呕吐,无肢体麻木、四肢抽搐、意识不清等症状。于当地医院就诊,查头颅CT提示:未见异常,予对症支持治疗,症状无好转。半天前患者症状加重,出现神志不清,呈嗜睡状态,现患者为求进一步诊治,遂至我院。门诊拟以“大面积脑梗塞”收入院。


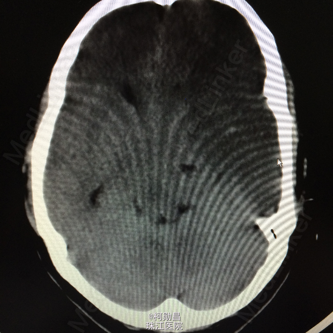
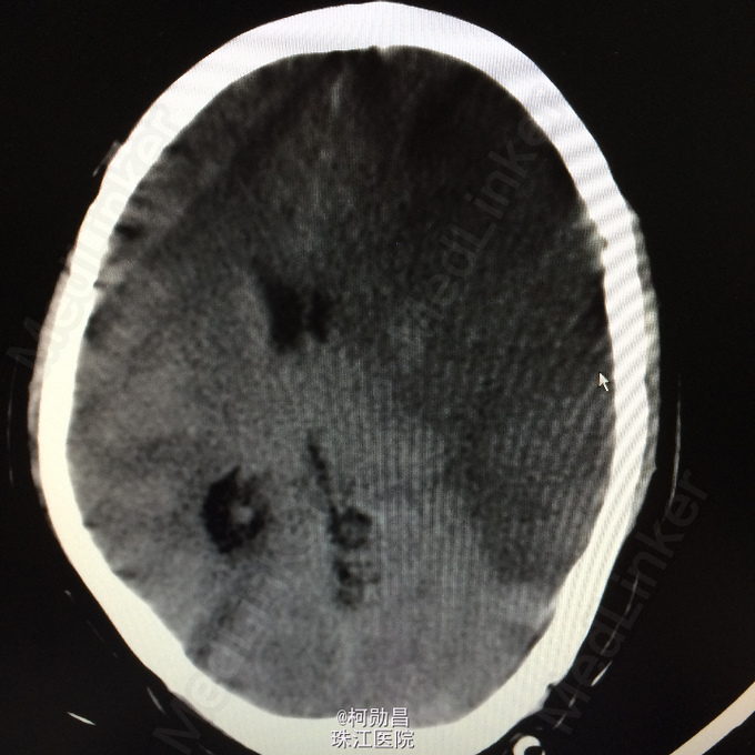
查体:神志呈昏睡状态,言语不能,精神差,双侧瞳孔不等大,左侧3mm,对光反射消失;右侧瞳孔2,mm,对光反射灵敏,右侧肢体肌力0级,左侧肢体肌力5级,右侧肢体肌张力减低,余未见异常。 辅助检查:左侧大脑半球累计岛叶、基底节区(以颞顶叶为主)大片状低密度影,考虑脑梗塞;中线结构明显右移。






诊断:大面积脑梗 处理:予对症支持治疗,运用抗血小板治疗,抗凝治疗

大面积脑梗塞是由脑动脉主干阻塞所致,CT呈现大片状低密度阴影,多为脑叶或跨脑叶分布,脑组织损害范围较大,临床上除表现脑梗塞的一般症状外,还伴有意识障碍及颅内压增高。大面积脑梗发生前一般在CT上未见明显异常,发病急。大面积脑梗塞急性期治疗的关键是控制颅内压,降低脑水肿,防止脑疝形成,促进病变脑组织功能恢复。可及时给予高渗脱水剂、利尿剂和激素等治疗。亦可酌情给予脑细胞活化剂。脱水剂的应用时间,应视病情而定,一般经过1~2周治疗后,若病人意识障碍消失,颅内压已恢复正常,可给予血管扩张剂药物。但在这里需要提及的是,血管扩张药药物一定要掌握用药时机,不能盲目使用,不能使用过早,否则,将会产生“盗血综合征”,使病情加重。与此同时,还应注意控制血压,维持水和电解质平衡,预防和治疗并发症等综合治疗。