下载或打开 医联APP 查看完整评论
立即下载
打开APP
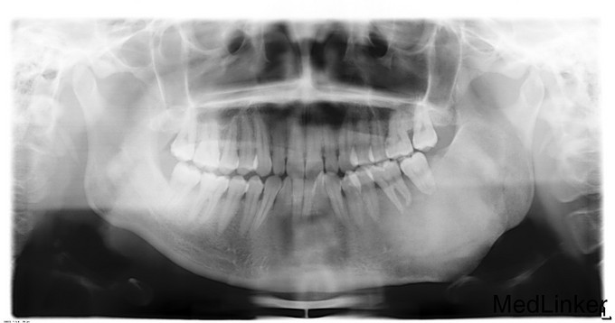
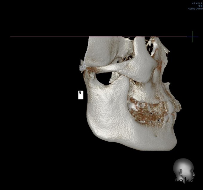
发现左下颌骨局部肿大6年,青年女患者,慢性病程。患者于6年前无明显诱因发现左下颌骨局部肿大,逐渐加重,无明显疼痛、口角麻木等不适。今为进一步治疗来我院就诊,门诊以"左下颌骨骨纤维异常增殖症"收入院
颌面部左右不对称,左下颌区较右侧肥大,开口型正常,开口度4.0cm,双侧关节无明显压痛、弹响,双侧髁突动度左右基本对称。左下颌骨约35至磨牙后区颌骨肿大,前庭沟变浅,同时舌侧可及肿大,质地硬,黏膜无破溃流脓,牙齿无明显松动。



诊断:左下颌骨骨纤维异样增殖症,全麻下行“左下颌骨整形行性切除+左下颌角修整术+邻近瓣转移修复术”
手术主要为整形性质