下载或打开 医联APP 查看完整评论
立即下载
打开APP
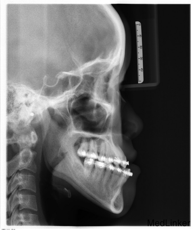
下颌前突十余年。青年女患者,慢性病程。患者于十余年前无明显诱因开始出现下颌前突,于去年11月份开始接受正畸治疗,2015-07-26入我院准备行正颌手术治疗,因感冒出院,今为进一步治疗来我院就诊,门诊以"下颌前突"收入院
面部发育良好,左右基本对称,上中下比例协调,面下三分之一过长前突左偏,颏顶点左偏,双侧颞下颌关节无弹响无疼痛,开口度3.7cm,开口型正常,上下牙弓关系不协调,中线不齐,前牙反牙合,后牙近中错牙合,左侧后牙反牙合,龋齿无,牙周病无。




诊断:下颌前突,全麻下行“双侧下颌升支矢状劈开后退术+双侧下颌骨去骨皮质术+双侧下颌骨骨内坚固内固定术+双侧邻近瓣转移修复术”,术后予消炎、消肿等对症治疗。
患者主要是单颌畸形,单纯运用矢状劈开就可以,不动上颌