下载或打开 医联APP 查看完整评论
立即下载
打开APP
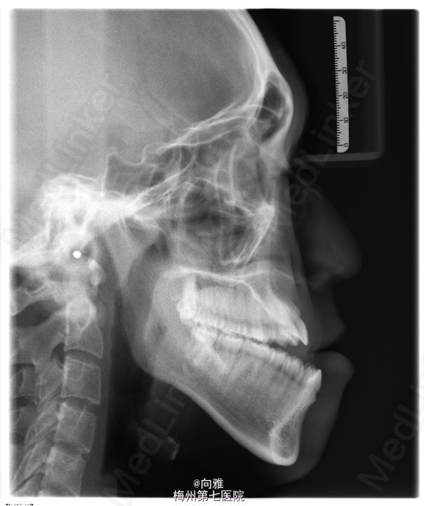
青年男患者,下颌前突十余年,患者于十年余前无明显诱因出现上颌后缩,下颌前突,影响美观及咬合,逐渐加重,未行处理,1年前于我院正畸科就诊,制定“正畸-正颌联合”治疗方案,遂行正畸治疗,现已完善术前正畸,今为行正颌手术入院治疗
双侧颌面部基本对称,侧面观:面下1/3前突。左侧颞下颌关节触及弹响,右侧颞下颌关节未触及弹响,双侧颞下颌关节无压痛。开口型“↓”,开口度3.5cm。口内全口牙列正畸托槽,前牙开合、反合,约2cm,双侧后牙I类关系。




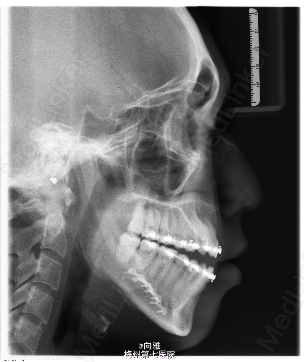
1.下颌前突 2.偏颌畸形,全麻下行BSSRO后退术+双侧下颌骨去骨皮质术+坚固内固定术
口内缝线待其自然脱落;继续行颌间弹性牵引,继续至正畸科复诊,术后护理很重要