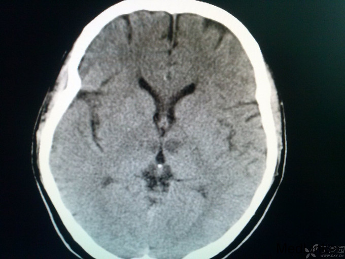
女患 40岁主诉:昏迷3个小时于4月26日入院 现病史:家属代诉患者于今晨7:30左右突然出现走路不稳,数分钟后昏迷,叫不醒,家属呼120来我医院,途中抽搐一次。 既往史:患者13岁时患风心病,04年行主动脉瓣及二尖瓣手术,为机械瓣,之后一直应用华法林1片口服,房颤史不明确,2年前有一过性昏迷症状,未在意。 上传27日CT:


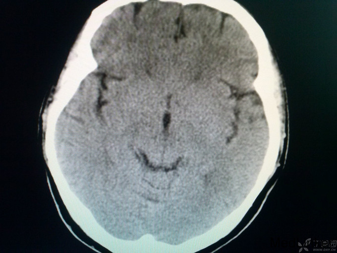
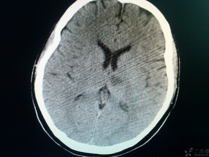
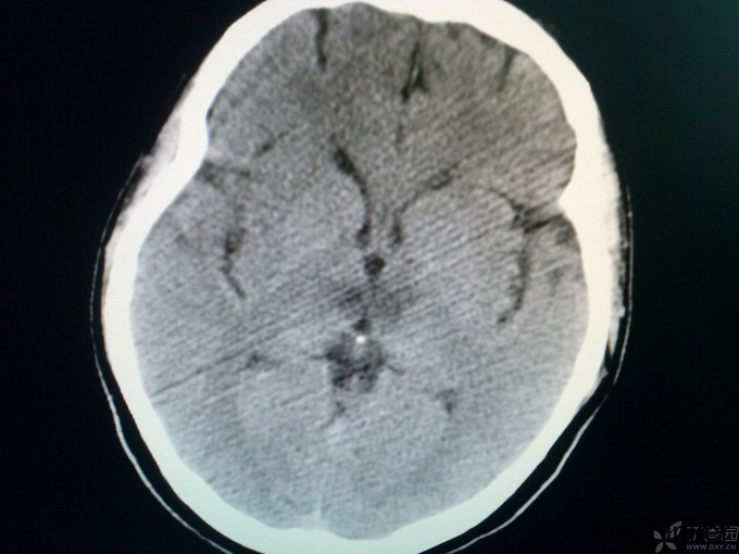
查体:体温36.0℃,脉搏60次/分,呼吸20次/分,血压120/80mmHg。平车推入病房,查体不合作。皮肤巩膜无黄染,胸前见手术瘢痕,双肺呼吸音粗,未闻及罗音,心室率72次/分,律绝对不齐,无病理性杂音,腹部膨隆,膀胱区叩诊为浊音,肝脾肋下未触及。神经系统专科查体:嗜睡,双瞳孔同大同圆,双眼直径3.0mm,对光反射灵敏,双侧鼻唇沟对称,咽反射(+),四肢对疼痛刺激有反应,肌张力正常,肱二头肌、肱三头肌肌腱及膝反射、跟腱反射均亢进,病理征:Babinski征L(+),R(+),颈无抵抗,Kernig征(-)。头CT:未见异常;入院后给予甘露醇125毫升间隔12小时静点一次,呋塞米20毫克间隔12小时静点一次。给予华法林2.5mg日一次口服、奥扎格雷80mg日一次静滴、活血化瘀、营养神经治疗。如是您是首诊患者,有何不同治疗方案?双抗+华法林、稳定斑块合适吗?理由呢? 4月27日: 患者嗜睡,叫醒后,问话能正确回答,患者不能识别物体的形状,左右肢体能识别,查体:嗜睡,双瞳孔同大同圆,双眼直径3.0m,对光反射灵敏,双侧鼻唇沟对称,咽反射(+),四肢活动可,肌张力正常,肱二头肌、肱三头肌肌腱及膝反射、跟腱反射均亢进,病理征:Babinski征L(+),R(+),颈无抵抗,Kernig征(-)。今日复查头CT:后续提供。同时华法林改为3.75mg日一次口服。病灶进展?还是? 4月28日 患者嗜睡,叫醒后,患者左右肢体失认,失算,尿量尚可,心电监护示:血压:96/70mmHg,心率140次/分,律不齐,血氧饱和度99%,现查体:嗜睡,呼吸平稳,肢体疼痛刺激可动,双瞳孔直径3.0mm,对光反射灵敏,双巴氏征(+)。双下肢无浮肿。给予低分子肝素4100单位间隔12小时皮下注射,患者心室率快,给予西地兰0.2mg静推。病灶进展?还是? 5月1日 患者处于嗜睡状态,但嗜睡时间较前明显缩短,问话可答,但答非所问,看似条理清晰,实则“子无须有”,呈现“虚构现象”,如问“几个孩子”,说“1个”,“男孩还是女孩”,答曰“男孩”,实则没有;问“什么水果”,有时能答对,绝大多数回答错误;但患者说话声调低、音量小,复述正常,心电监护示:血压107/77mmHg,心率89次/分,SPO2:98%,查体:嗜睡状态,丘脑性失语,无面瘫,双瞳孔直径3.0mm,对光反射灵敏,双眼上视、下视受限,以下视明显,四肢肌力5级,肌张力正常,双巴氏征(+)。 4月29日CT:


诊断: 1.BVTS 2.风心病,瓣膜置换术后 3.房颤
稍后讨论,让子弹飞一会!