下载或打开 医联APP 查看完整评论
立即下载
打开APP
男,54岁,以头痛半个月入院。 现病史:半个月前无诱因头痛,呈胀痛,无呕吐,无意识障碍,病来咳嗽、咳痰,体重减轻约5斤,无发热。 既往史:无特殊。
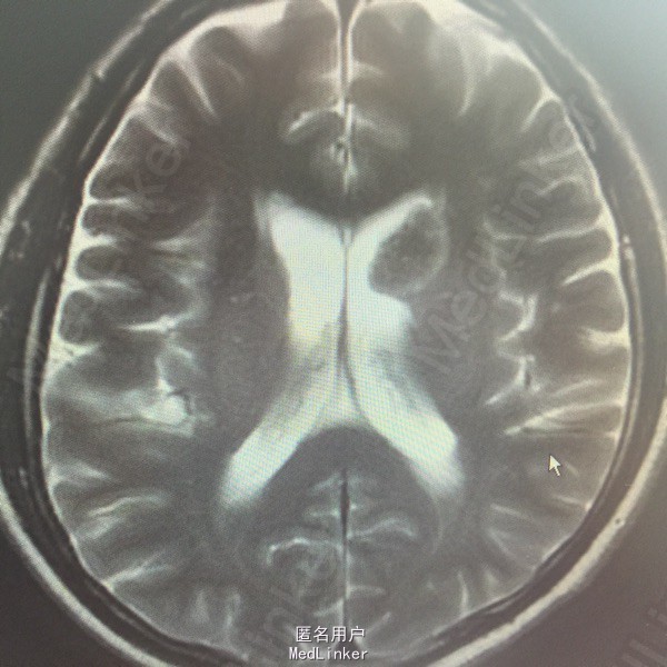
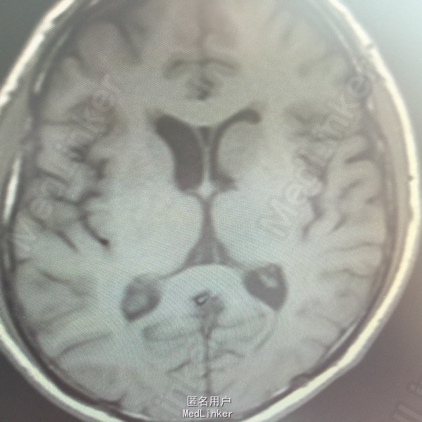
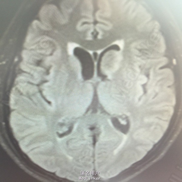
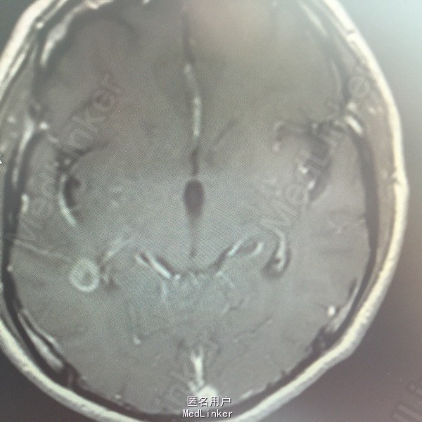
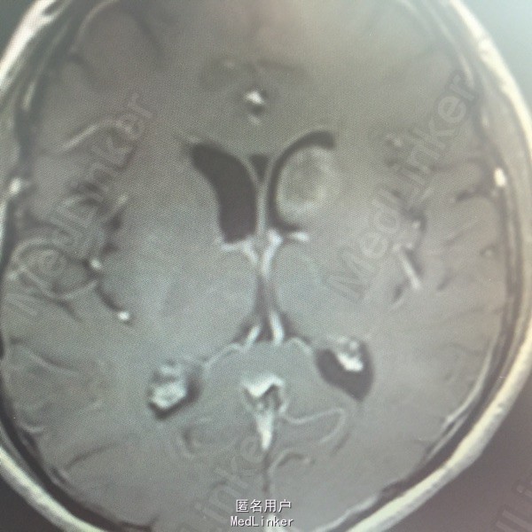
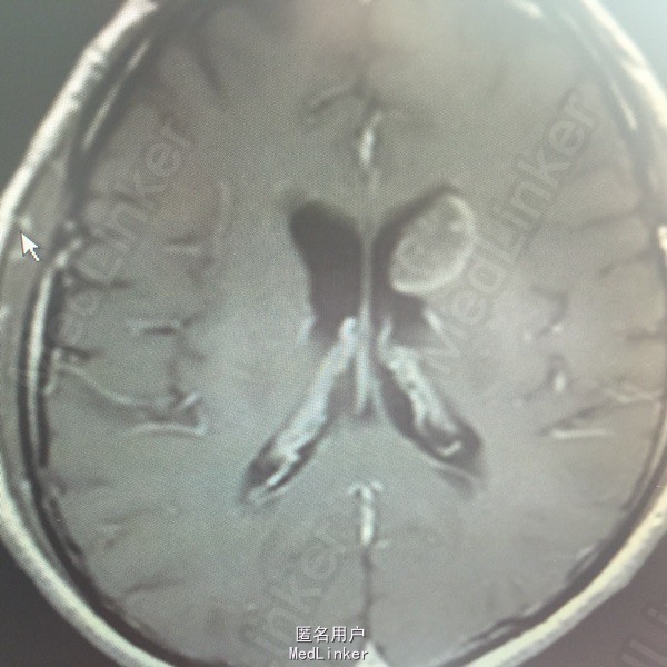
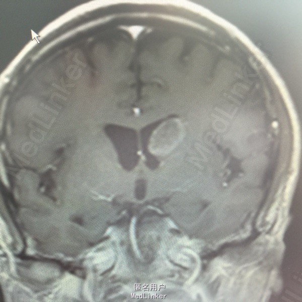
查体:BP:150/100mmHg,神清语明,两瞳孔等大正圆,直径约3.0mm,光敏,四肢肌力5级,肌张力正常,腱反射艹,左侧共济运动阳性,病理征阳性,脑膜刺激征(-)。 辅查:见下:






诊断、鉴别诊断及治疗。









肺癌脑转移。 影像解读(影像如何解读是临床工作中非常重要的一环)。 左侧额叶近皮质长Tl长T2信号,局部颅骨缺损,右侧枕叶不规则病灶,TlWl呈中心呈等信号,周围高信号,T2Wl呈高低混杂信号,伴大片水肿,相邻侧脑室后角、胼胝体受压。增强呈不规则环环强化。 已进行局部放疗治疗。