下载或打开 医联APP 查看完整评论
立即下载
打开APP
主诉:右面部痛疼半年伴面瘫1周就诊 病史:半年前曾感右侧面部疼痛,上、下眼睑有肿胀感,曾在外院诊断为“三叉神经痛”,给予消炎药及卡马西平,症状不见好转,近周症状加重,就诊前1周发生面瘫。
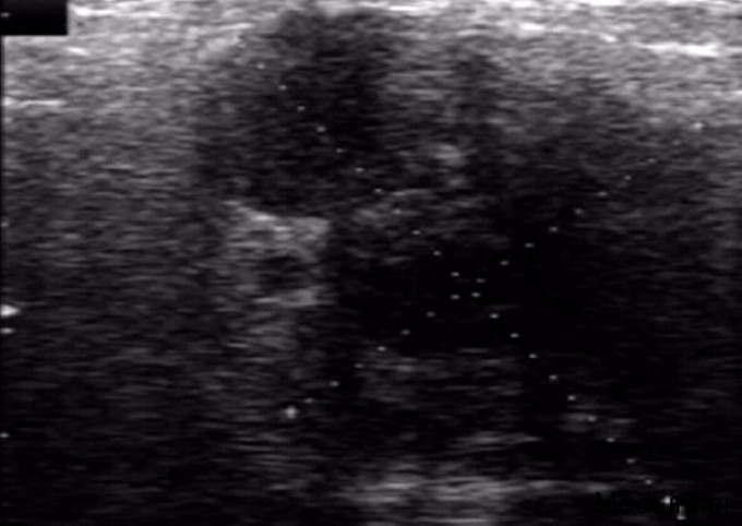
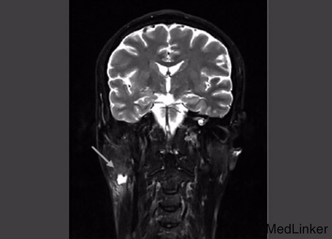
查体:右面颊腮腺区可扪及质地中等约4cm*2cm大小肿块,,界线不清,与周围组织粘连,压痛,以耳根部显著,颌下淋巴结未触及肿大,其它检查正常 辅查:超声检查:右侧腮腺内可见一个不规则低回声包块,大小约43mm*26mm*15m,边界不清,形态不规则,其内可见少许液性暗区;包块内实性部分可探及少许血流信号;MRI平扫与动态增强示:右侧腮腺区占位性病变,含囊性成分,血供欠丰富



诊断:腮腺肿块性质待查 治疗:完善相关检查后,行手术治疗:术中见肿物位于右侧腮腺下极,大小约4.5cm*4cm*2.5cm,质硬,可见部分包膜,钝性分离后完整取出。术后病理诊断:(右腮腺肿物)多形性腺瘤伴坏死,呈多结节性生长,局部细胞生长活跃,不完全除外黏液表皮样癌。
多形性腺瘤是指上皮性恶性肿瘤成分发生在原发或复发的多形性腺瘤,该病主要病理表现是存在有良性多形性腺瘤组织特点和上皮成分恶性改变。容易发生转移,预后较差,手术治疗是最重要的治疗方法,术后放疗能改善局部控制率。该病例患者出现面部疼痛伴面瘫,误诊为三叉神经痛,与腮腺的解剖位置有关,易误诊,结合临床资料、影像学检查以及病理可提高诊断率。