下载或打开 医联APP 查看完整评论
立即下载
打开APP
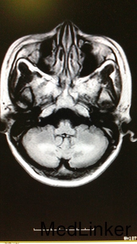
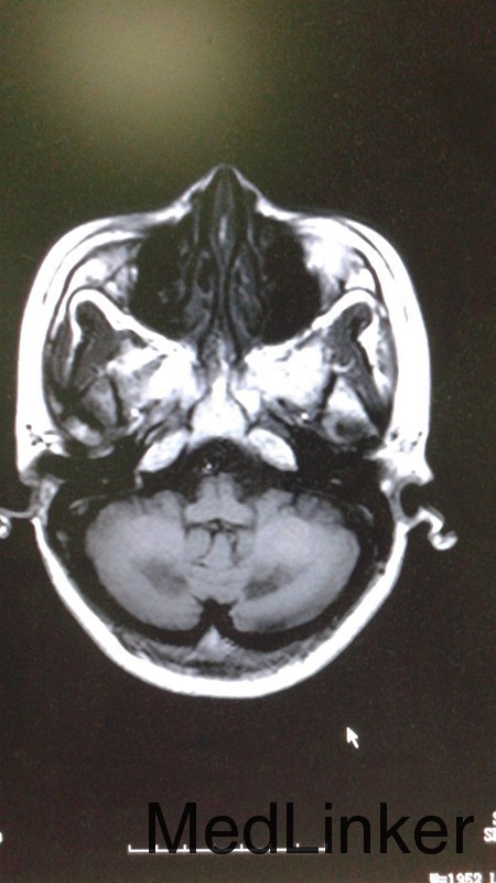
患者,女,44岁。主因反应迟钝,行走不稳4年,加重伴吞咽困难8月 患者4年前无明显诱因出现表情淡漠、反应迟钝,不与人交流,嗜睡、懒动、乏力,不修边幅,期初不影响生活未予诊治。此后上述症状逐渐加重,与人交流日渐减少,嗜睡,至两年前逐步出现行走左摇右摆,言语表达含糊不清,难以胜任日常生活,遂入院治疗,期间行头颅MRI示:1、双侧小脑齿状核、大脑脚及皮质脊髓束对称性异常信号。行跟腱检查结果示:左足纤维组织内查见结晶炎物及泡沫细胞,右足跟腱组织活检病理诊断:纤维结缔组织可见较多胆固醇裂隙、多核巨细胞形态符合黄色瘤,给予熊去氧胆酸片口服后病情好转出院。症状有所改善。服药期间自行停药。8个月前无明显诱因出现言语不利,行走不稳症状再次加重,双下肢僵硬、无力,行走不稳,需与人搀扶,遂再次入院。


辅查:总胆红素 37.9umol/L,直接胆红素 10.1 umol/L, 间接胆红素 27.8 umol/L 查体:反应迟钝,强哭,共济失调步态,咽反射迟钝,四肢腱反射活跃,双侧病理征存在
诊断:脑肌腱黄瘤病 治疗:神经科常规治疗外,给予口服熊去氧胆酸片,嘱其规律服用。
讨论:脑腱黄瘤病(van Bogaert病) 一种罕见的脂代谢障碍,为隐性遗传,特征是进行性共济失调,痴呆,白内障和腱黄瘤.胆甾醇(二氢胆固醇)在中枢,肺,血液和黄色瘤中的浓度增高,肝酶(27-羟化酶)可分解在胆酸合成旁路中的羟甾胆醇,此酶的缺乏引起了胆固醇在脑,胆黄色瘤等很多组织中积聚.尽管血浆总胆固醇水平偏低或正常,早发性冠心病依然存在.30岁后会出现进行性残疾.治疗用鹅二醇(鹅脱氢胆酸)0.5~1.5g/d口服,此药可抑制正常胆酸的合成,减少胆固醇的形成,防止疾病的进一步恶化.