下载或打开 医联APP 查看完整评论
立即下载
打开APP
患者,女,45岁,发现左乳肿物半年余
查体:左乳外上可及一大小约为5cm肿物,质硬,边界欠清 辅查:



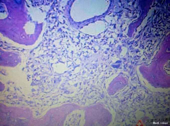
诊断:左乳癌?左乳纤维腺瘤?肉瘤? 治疗:患者入院后于局麻下行左乳肿物穿刺活检术,术后病理提示:左乳恶性肿瘤,肉瘤待排,遂全麻下行左乳癌改良根治术加腋窝淋巴结清扫术,术后病理示:左乳恶性肿瘤,考虑骨肉瘤可能性大,淋巴结未见转移。

随访与讨论:说实话,在之前根本没听说过有这一个疾病,这次也是长了见识,不过完全靠的是病理科。查文献可知:原发性乳腺骨肉瘤是一种比较罕见的恶性肿瘤, WHO乳腺肿瘤学分类将其归于间叶性肿瘤,是骨外骨肉瘤的一种。在原发乳腺恶性肿瘤中发病率低于0.1%,好发于中老年女性,主要通过血道转移,最常累及肺脏,几乎无淋巴结转移。该病诊断主要依赖于病理结果。由于该病恶性程度高,对放化疗均不敏感,目前尚缺乏统一的治疗方案。所以我们也只是做了改良根治术,后期化疗综合医生决定以及患者意愿综合实施,当然全身评估是必不可少的。