下载或打开 医联APP 查看完整评论
立即下载
打开APP
打开应用
前牙美容修复
伊尔用户
伊尔意口腔
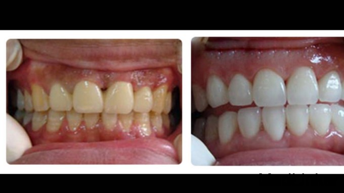
主诉 病史
女,40岁,上前牙颜色发黄,要求漂白,冷光美白。无过敏病史。
发布于 15-10-20 15:33
医联推荐你看
前牙美容修复
前牙美容修复
前牙美容修复
共
0
个评论
暂无评论
发送
0